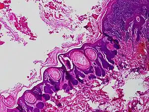
Trichofolliculoma
Trichofolliculoma is a cutaneous condition characterized by a benign, highly structured tumor of the pilosebaceous unit.[1]: 671 [2]
| Trichofolliculoma | |
|---|---|
![]() | |
| Specialty | Dermatology, oncology |
References
External links
This article is issued from Wikipedia. The text is licensed under Creative Commons - Attribution - Sharealike. Additional terms may apply for the media files.
