Seborrheic keratosis
A seborrheic keratosis is a non-cancerous (benign) skin tumour that originates from cells in the outer layer of the skin. Like liver spots, seborrheic keratoses are seen more often as people age.[4]
| Seborrheic keratosis | |
|---|---|
| Other names | Seborrheic verruca, basal cell papilloma, senile wart,[1][2]: 767 [3]: 637 |
![]() | |
| Multiple seborrheic keratoses on the dorsum of a patient with Leser–Trélat sign. | |
| Specialty | Dermatology |
The tumours (also called lesions) appear in various colours, from light tan to black. They are round or oval, feel flat or slightly elevated, like the scab from a healing wound, and range in size from very small to more than 2.5 centimetres (1 in) across.[5] They can often come in association with other skin conditions, including basal cell carcinoma.[6] Rarely seborrheic keratosis and basal cell carcinoma occur at the same location. At clinical examination the differential diagnosis includes warts[4] and melanoma. Because only the top layers of the epidermis are involved, seborrheic keratoses are often described as having a "pasted on" appearance. Some dermatologists refer to seborrheic keratoses as "seborrheic warts", because they resemble warts, but strictly speaking the term "warts" refers to lesions that are caused by human papillomavirus.[7]
Cause
The cause of seborrheic keratosis is not known.[4]
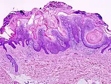
Diagnosis
.jpg.webp)
Visual diagnosis is made by the "stuck on" appearance, horny pearls or cysts embedded in the structure. Darkly pigmented lesions can be challenging to distinguish from nodular melanomas.[8] Furthermore, thin seborrheic keratoses on facial skin can be very difficult to differentiate from lentigo maligna even with dermatoscopy. Clinically, epidermal nevi are similar to seborrheic keratoses in appearance. Epidermal nevi are usually present at or near birth. Condylomas and warts can clinically resemble seborrheic keratoses, and dermatoscopy can be helpful. On the penis and genital skin, condylomas and seborrheic keratoses can be difficult to differentiate, even on biopsy.
A study examining over 4000 biopsied skin lesions identified as seborrheic keratoses showed 3.1% were malignancies. Two-thirds of those were squamous cell carcinoma.[9] To date, the gold standard in the diagnosis of seborrheic keratosis is represented by the histolopathologic analysis of a skin biopsy.[10]
Subtypes
Seborrheic keratoses may be divided into the following types:[2][11][12]
| Subtype (and alternative names) | Characteristics | Image |
|---|---|---|
| Common seborrheic keratosis (basal cell papilloma, solid seborrheic keratosis) | Dull or lackluster surface.[2]: 769 | |
| Reticulated seborrheic keratosis (adenoid seborrheic keratosis) | Dull or lackluster surface, and with keratin cysts seen histologically.[2]: 769 | |
| Stucco keratosis (deratosis alba,[13] digitate seborrheic keratosis, hyperkeratotic seborrheic keratosis, serrated seborrheic keratosis, verrucous seborrheic keratosis) | Common. Dull or lackluster surface, and with church-spire-like projections of epidermal cells around collagen seen histologically.[2][3] Stucco keratoses are often light brown to off-white, and are no larger than a few millimeters in diameter. They are often found on the distal tibia, ankle, and foot.[12] | |
| Clonal seborrheic keratosis | Dull or lackluster surface, and with round, loosely packed nests of cells seen histologically.[2]: 769 | |
| Irritated seborrheic keratosis (inflamed seborrheic keratosis, basosquamous cell acanthoma) | dull or lackluster surface.[2]: 769 | |
| Seborrheic keratosis with squamous atypia | Dull or lackluster surface, and with round, loosely packed nests of cells seen histologically.[2]: 770 | |
| Melanoacanthoma (pigmented seborrheic keratosis) | Dull or lackluster surface.[2]: 770 [3]: 687 It involves a proliferation of keratinocytes and melanocytes.[14] | |
| Inverted follicular keratosis[notes 1] | Asymptomatic, firm, white–tan to pink papules[13] Microscopically it is characterized as a well-circumscribed inverted acanthotic squamous proliferation containing squamous eddies and without significant atypia.[15] | ![]() |
Main differential diagnoses
Dermatosis papulosa nigra (DPN) is a condition of many small, benign skin lesions on the face, a condition generally presenting on dark-skinned individuals.[3]: 638–9 DPN is extremely common, affecting up to 30% of Black people in the US.[16]
Treatment
No treatment of seborrheic keratoses is necessary, except for aesthetic reasons.[4] Generally, lesions can be treated with electrodesiccation and curettage, or cryosurgery. When correctly performed, removal of seborrheic keratoses will not cause much visible scarring.[17]
Epidemiology
Seborrheic keratosis is the most common benign skin tumor. Incidence increases with age. There is less prevalence in people with darker skin.[18] In large-cohort studies, 100% of the patients over age 50 had at least one seborrheic keratosis.[19] Onset is usually in middle age, although they are common in younger patients too—found in 12% of 15-year-olds to 25-year-olds—making the term "senile keratosis" a misnomer.[20]
See also
Notes
- Inverted follicular keratosis is generally thought to be a rare variant of seborrheic keratosis, but this position is not universally accepted.
- Karadag, AyseSerap; Ozlu, Emin; Uzuncakmak, TugbaKevser; Akdeniz, Necmettin; Cobanoglu, Bengu; Oman, Berkant (2016). "Inverted follicular keratosis successfully treated with imiquimod". Indian Dermatology Online Journal. 7 (3): 177–9. doi:10.4103/2229-5178.182354. ISSN 2229-5178. PMC 4886589. PMID 27294052.
References
- Hafner, C; Vogt, T (Aug 2008). "Seborrheic keratosis". Journal der Deutschen Dermatologischen Gesellschaft. 6 (8): 664–77. doi:10.1111/j.1610-0387.2008.06788.x. PMID 18801147. S2CID 205857121.
- Freedberg, et al. (2003). Fitzpatrick's Dermatology in General Medicine. (6th ed.). McGraw-Hill. ISBN 0-07-138076-0.
- James, William D.; Berger, Timothy G.; et al. (2006). Andrews' Diseases of the Skin: Clinical Dermatology. Saunders Elsevier. ISBN 978-0-7216-2921-6.
- Moles, Freckles, Skin Tags, Benign Lentigines, and Seborrheic Keratoses Archived 2015-05-22 at the Wayback Machine from the Cleveland Clinic website
- Seborrheic keratosis: Symptoms Archived 2008-09-24 at the Wayback Machine, from the Mayo Clinic website
- Fusco, N.; Lopez, G.; Gianelli, U. (2015). "Basal Cell Carcinoma and Seborrheic Keratosis: When Opposites Attract". International Journal of Surgical Pathology. 23 (6): 464. doi:10.1177/1066896915593802. PMID 26135529. S2CID 206650583.
- Reutter, Jason C.; Geisinger, Kim R.; Laudadio, Jennifer (2014). "Vulvar Seborrheic Keratosis". Journal of Lower Genital Tract Disease. 18 (2): 190–4. doi:10.1097/LGT.0b013e3182952357. PMID 24556611. S2CID 26756807.
- "Heartburn". ssai-starss.com. Archived from the original on 22 February 2014. Retrieved 7 May 2018.
- Chen, Tiffany Y.; Morrison, Annie O.; Cockerell, Clay J. (2017-09-01). "Cutaneous malignancies simulating seborrheic keratoses: An underappreciated phenomenon?". Journal of Cutaneous Pathology. 44 (9): 747–748. doi:10.1111/cup.12975. ISSN 1600-0560. PMID 28589622. S2CID 11350866.
- Hanlon, Allison (2018). A Practical Guide to Skin Cancer. Springer. p. 80. ISBN 9783319749037. Retrieved 22 September 2018.
- Dermatosis Papulosa Nigra at eMedicine
- Stucco Keratosis at eMedicine
- Rapini, Ronald P.; Bolognia, Jean L.; Jorizzo, Joseph L. (2007). Dermatology: 2-Volume Set. St. Louis: Mosby. p. 1665. ISBN 978-1-4160-2999-1.
- "Cutaneous Melanoacanthoma: eMedicine Dermatology".
- Tan, Kong-Bing; Tan, Sze-Hwa; Aw, Derrick Chen-Wee; Jaffar, Huma; Lim, Thiam-Chye; Lee, Shu-Jin; Lee, Yoke-Sun (2013). "Simulators of Squamous Cell Carcinoma of the Skin: Diagnostic Challenges on Small Biopsies and Clinicopathological Correlation". Journal of Skin Cancer. 2013: 1–10. doi:10.1155/2013/752864. PMC 3708441. PMID 23878739.
- Grimes PE, Arora S, Minus HR, Kenney JA Jr. Dermatosis papulosa nigra. Cutis. Oct 1983;32(4):385-6, 392.
- "Seborrheic keratoses | American Academy of Dermatology". www.aad.org. American Academy of Dermatology. Retrieved 22 September 2018.
- Zhang, Ru-Zhi; Zhu, Wen-Yuan (2011). "Seborrheic keratoses in five elderly patients: An appearance of raindrops and streams". Indian Journal of Dermatology. 56 (4): 432–434. doi:10.4103/0019-5154.84754. PMC 3179013. PMID 21965858.
- Yeatman JM, Kilkenny M, Marks R (Sep 1997). "The prevalence of seborrhoeic keratoses in an Australian population: does exposure to sunlight play a part in their frequency?". Br J Dermatol. 137 (3): 411–4. doi:10.1111/j.1365-2133.1997.tb03748.x. PMID 9349339.
- Gill D, Dorevitch A, Marks R (Jun 2000). "The prevalence of seborrheic keratoses in people aged 15 to 30 years: is the term senile keratosis redundant?". Arch Dermatol. 136 (6): 759–62. doi:10.1001/archderm.136.6.759. PMID 10871940.

