Reactive gastropathy

Reactive gastropathy, chemical gastropathy also called gastritis of « C type » or "chemical gastritis"[1] is an abnormality in the stomach caused by chemicals, e.g. bile, alcohol, and characteristically has minimal inflammation.

Reactive gastropathy
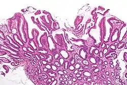
Micrograph of a reactive gastropathy. H&E stain.
SpecialtyPathology, gastroenterology

Cause

Reactive gastropathy has a large number of causes, including:

Diagnosis

Reactive gastropathy, is characterized histologically by:[2]
- Foveolar hyperplasia (black arrow), as a tortuosity in the "neck" region of the gastric glands.
- Scant or minimal inflammatory cells (white arrow), i.e. lack of large numbers of neutrophils and plasma cells..
- Smooth muscle hyperplasia in the lamina propria (in black oval).

The diagnosis is by examination of tissue, e.g. a stomach biopsy.

Relation to gastritis

Reactive gastropathy is morphologically distinct entity[3][4] that can be separated from gastritis, which by definition has a significant inflammatory component.

As a reactive gastropathy may mimic a (true) gastritis symptomatically and visually in an endoscopic examination, it may incorrectly be referred to as a gastritis. Even aware of the underlying etiology of the pathologic process, e.g. NSAID use, the label "chemical gastritis" is applied to a chemical gastropathy.

See also

References

  1. Wyatt JI, Dixon MF (1988). "Chronic gastritis—a pathogenesis approach". The Journal of Pathology. 40 (154): 113–24. doi:10.1002/path.1711540203. PMID 3280764. S2CID 28410354.{{cite journal}}: CS1 maint: uses authors parameter (link)
  2. Genta, RM (Nov 2005). "Differential diagnosis of reactive gastropathy". Seminars in Diagnostic Pathology. 22 (4): 273–83. doi:10.1053/j.semdp.2006.04.001. PMID 16939055.
  3. Pashankar, DS; Bishop, WP; Mitros, FA (Nov 2002). "Chemical gastropathy: a distinct histopathologic entity in children". Journal of Pediatric Gastroenterology and Nutrition. 35 (5): 653–7. doi:10.1097/00005176-200211000-00012. PMID 12454581. S2CID 40029728.
  4. Dixon, MF; O'Connor, HJ; Axon, AT; King, RF; Johnston, D (May 1986). "Reflux gastritis: distinct histopathological entity?". Journal of Clinical Pathology. 39 (5): 524–30. doi:10.1136/jcp.39.5.524. PMC 499914. PMID 3722405.
This article is issued from Wikipedia. The text is licensed under Creative Commons - Attribution - Sharealike. Additional terms may apply for the media files.