Pyogenic liver abscess
A pyogenic liver abscess is a type of liver abscess caused by bacteria.
| Pyogenic liver abscess | |
|---|---|
![]() | |
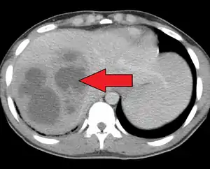
| A large pyogenic liver abscess presumed to be the result of appendicitis | |
| Specialty | Gastroenterology |
Signs and symptoms
Acute abscess
- Fever
- Lethargy
- Discomfort in right upper quadrant of abdomen
- Anorexia
- Enlarged and tender liver
- Pleural effusion
Chronic abscess
- Fever
- Abdominal discomfort
- Enlarged liver
Cause
- Biliary disease (most common)
E.g.: stones, cholangiocarcinoma
- Colonic disease
E.g.: diverticulitis, appendicitis, Crohn's disease
- Cryptogenic disease
- Pancreatitis
- Infection of blood
- Intra-abdominal sepsis
- Infection of biliary system
- Traumatic introduction
E.g.: penetrating injury, iatrogenic (radiofrequency ablation)
Common bacterial causes
- Streptococcus milleri
- E. coli
- Streptococcus fecalis
- Klebsiella pneumoniae
- Proteus vulgaris
- Bacteroides
- Opportunistic pathogens (Staphylococcus)
Diagnosis
- Blood CP (no leucocytosis)
- Haemoglobin estimation (anaemia)
- Serum albumin levels (falls rapidly)
- USG and CT scanning
- Guided aspiration to confirm the diagnosis
Treatment
- Antibiotics
- Percutaneous drainage under USG or CT control
- Laparotomy in intra-abdominal disease
External links
This article is issued from Wikipedia. The text is licensed under Creative Commons - Attribution - Sharealike. Additional terms may apply for the media files.
