Psoas muscle abscess
An abscess in the psoas muscle of the abdomen may be caused by lumbar tuberculosis. Owing to the proximal attachments of the iliopsoas, such an abscess may drain inferiorly into the upper medial thigh and present as a swelling in the region. The sheath of the muscle arises from the lumbar vertebrae and the intervertebral discs between the vertebrae. The disc is more susceptible to infection, from tuberculosis and Salmonella discitis. The infection can spread into the psoas muscle sheath.[1]
| Psoas abscess | |
|---|---|
![]() | |
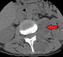
| Paraspinal abscess in the psoas muscle | |
| Specialty | Infectious diseases, surgery, gastroenterology |
Treatment may involve drainage and antibiotics.[2]
Additional images

Paraspinal abscess in the psoas muscle
See also
References
- Drake, Richard (2012). Gray's basic anatomy, with STUDENT CONSULT. Philadelphia: Elsevier/Churchill Livingstone. ISBN 9781455710782.
- Melissas J, Romanos J, de Bree E, Schoretsanitis G, Askoxylakis J, Tsiftsis DD (April 2002). "Primary psoas abscess. Report of three cases". Acta Chir. Belg. 102 (2): 114–17. doi:10.1080/00015458.2002.11679276. PMID 12051083. S2CID 2502428.
External links
This article is issued from Wikipedia. The text is licensed under Creative Commons - Attribution - Sharealike. Additional terms may apply for the media files.
