Myocarditis
Myocarditis, also known as inflammatory cardiomyopathy, is an acquired cardiomyopathy due to inflammation of the heart muscle. Symptoms can include shortness of breath, chest pain, decreased ability to exercise, and an irregular heartbeat.[1] The duration of problems can vary from hours to months. Complications may include heart failure due to dilated cardiomyopathy or cardiac arrest.[1]
| Myocarditis | |
|---|---|
| Other names | Inflammatory cardiomyopathy (infectious) |
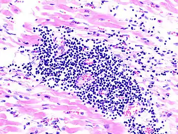
![]() | |
| A microscope image of myocarditis at autopsy in a person with acute onset of heart failure | |
| Specialty | Infectious disease, cardiology |
| Symptoms | Shortness of breath, chest pain, decreased ability to exercise, irregular heartbeat[1] |
| Complications | Heart failure due to dilated cardiomyopathy, cardiac arrest[1] |
| Duration | Hours to months[1] |
| Causes | Usually viral infection, also bacterial infections, certain medications, autoimmune disorders[1][2] |
| Diagnostic method | Electrocardiogram, blood troponin, heart MRI, heart biopsy[1][2] |
| Treatment | Medications, implantable cardiac defibrillator, heart transplant[1][2] |
| Medication | ACE inhibitors, beta blockers, diuretics, corticosteroids, intravenous immunoglobulin[1][2] |
| Prognosis | Variable[3] |
| Frequency | 2.5 million with cardiomyopathy (2015)[4] |
| Deaths | 354,000 with cardiomyopathy (2015)[5] |
Myocarditis is most often due to a viral infection.[1] Other causes include bacterial infections, certain medications, toxins and autoimmune disorders.[1][2] A diagnosis may be supported by an electrocardiogram (ECG), increased troponin, heart MRI, and occasionally a heart biopsy.[1][2] An ultrasound of the heart is important to rule out other potential causes such as heart valve problems.[2]
Treatment depends on both the severity and the cause.[1][2] Medications such as ACE inhibitors, beta blockers, and diuretics are often used.[1][2] A period of no exercise is typically recommended during recovery.[1][2] Corticosteroids or intravenous immunoglobulin (IVIG) may be useful in certain cases.[1][2] In severe cases an implantable cardiac defibrillator or heart transplant may be recommended.[1][2]
In 2013, about 1.5 million cases of acute myocarditis occurred.[6] While people of all ages are affected, the young are most often affected.[7] It is slightly more common in males than females.[1] Most cases are mild.[2] In 2015 cardiomyopathy, including myocarditis, resulted in 354,000 deaths up from 294,000 in 1990.[8][5] The initial descriptions of the condition are from the mid-1800s.[9]
Signs and symptoms
The signs and symptoms associated with myocarditis are varied, and relate either to the actual inflammation of the myocardium or to the weakness and dysfunction of the heart muscle that is secondary to the inflammation. While myocarditis may develop over periods ranging from hours to months, patients typically present with signs and symptoms that resemble heart failure, including the following:[1][10]
| Symptoms | Notes | Signs | Notes |
|---|---|---|---|
| Chest pain | Often described as sharp or stabbing in nature | Fever | Especially when infectious, e.g., from parvovirus B19 |
| Shortness of breath | Worse when lying down or in a prone position | Dull heart sounds | Muffling occurs with inflammation, especially with pericarditis |
| Palpitations | Feeling like one's heart is beating forcefully | Abnormal heart rhythm | Determined using an electrocardiogram |
| Dizziness or fainting | Can reflect inadequate blood flow to the brain | Damage to heart cells | Seen as elevated troponin and inflammation on imaging |
Since myocarditis is often due to a viral illness, many patients experience symptoms consistent with a recent viral infection including a fever, rash, loss of appetite, abdominal pain, vomiting, diarrhea, joint pains, and easily becoming tired.[11] Additionally, myocarditis is often associated with pericarditis, and many people with myocarditis present with signs and symptoms that suggest myocarditis and pericarditis at the same time.[12][11]
Children primarily present with the aforementioned symptoms associated with a viral infection.[10] Since they overlap with many other illnesses, this can make it more challenging to diagnose myocarditis in younger patients.[13] Later stages of the illness can involve the respiratory system and lead to increased work of breathing. These are often mistaken for asthma.[10][13]
Myocarditis can be distinguished as either fulminant or acute based on the severity of symptoms on presentation, as well as the time course over which symptoms develop and persist. This categorization can help predict the treatment, outcomes, and complications of myocarditis.
Fulminant myocarditis is defined as sudden and severe myocarditis that is associated with signs and symptoms of heart failure while at rest.[14] More specifically, fulminant myocarditis is characterized by a distinct, rapid onset of severe heart failure symptoms, such as shortness of breath and chest pain, that develop over the course of hours to days. Additionally, treatment requires the use of medications or mechanical devices to improve heart function.[14][15]
Acute non-fulminant myocarditis has a less distinct onset in contrast to fulminant myocarditis, and evolves over days to months.[15][16] While the symptoms of acute myocarditis overlap with those of fulminant myocarditis, they do not typically occur at rest, and treatment does not require the use of mechanical circulatory support.[16]
Causes
While many causes of myocarditis are known, there are many cases in which a causative agent cannot be identified. In Europe and North America, viruses are common culprits.[17] Worldwide, however, the most common cause is Chagas disease, an illness endemic to Central and South America that results from infection with the protozoan Trypanosoma cruzi.[10] Overall, myocarditis can be caused by infections, immune conditions, toxins, drug reactions, and physical injuries to the heart.[2][13] These different etiologies are detailed below.
Infections
The most common causes of myocarditis are infectious organisms. Viral infections are the most common cause in developed countries, with a majority of cases being caused by those with single-stranded RNA genetic information such as Coxsackie viruses (especially Coxsackie B3 and B5).[18][19] Globally, Chagas disease is the leading cause of myocarditis, which results from infection with the protozoan Trypanosoma cruzi.[10] Bacteria can also result in myocarditis, although it is rare in patients with normal heart function and without a preexisting immunodeficiency.[17][20] A list of the most relevant infectious organisms is below.
- Viral: adenovirus, parvovirus B19, coxsackie virus, rubella virus, polio virus, Epstein-Barr virus, hepatitis C virus, and severe acute respiratory syndrome coronavirus 2 (SARS‑CoV‑2, causing COVID-19)[21][22][23]
- Protozoan: Trypanosoma cruzi and Toxoplasma gondii (causing Chagas disease and toxoplasmosis, respectively)[10][24]
- Bacterial: Brucella, Corynebacterium diphtheriae, Neisseria gonorrhoeae, Haemophilus influenzae, Actinomyces, Tropheryma whipplei, Vibrio cholerae, Borrelia burgdorferi, Leptospira, Rickettsia, Mycoplasma pneumoniae
- Fungal: Aspergillus
- Parasitic: Ascaris, Echinococcus granulosus, Paragonimus westermani, Schistosoma, Taenia solium, Trichinella spiralis, visceral larva migrans, Wuchereria bancrofti
Immune conditions
Drug reactions and toxins
- Anthracyclines and other forms of chemotherapy
- Antipsychotics including clozapine
- Alcohol
- Stimulants such as mephedrone and cocaine[26]
- Arsenic
- Carbon monoxide
- Snake venom
- Heavy metals (copper or iron)[27][28]
Vaccination
- Myocarditis and pericarditis can be a rare side effect of some vaccines like the smallpox vaccine.[29]
- Some COVID-19 mRNA-based vaccines (esp. elasomeran) can cause myocarditis and pericarditis, especially in young men at repeated administration.[30][31][32] In adolescent males aged 16 to 17 years the crude reporting rate of myocarditis was 105.9 per million doses of the BNT162b2 vaccine.[33] According to a study with mice a possible cause for this rare side effect may be accidental intravenous injection and the authors recommend to use (initial) aspiration in intramuscular injection to minimize this risk.[34]
Physical injuries
Mechanism
Most forms of myocarditis involve the infiltration of heart tissues by one or two types of pro-inflammatory blood cells, lymphocytes and macrophages plus two respective descendants of these cells, NK cells and macrophages. Eosinophilic myocarditis is a subtype of myocarditis in which cardiac tissue is infiltrated by another type of pro-inflammatory blood cell, the eosinophil. Eosinophilic myocarditis is further distinguished from non-eosinophilic myocarditis by having a different set of causes and recommended treatments.[35][19] Coxsackie B, specifically B3 and B5, has been found to interact with coxsackievirus-adenovirus receptor (CAR) and decay-accelerating factor (DAF). However, other proteins have also been identified that allow Coxsackieviruses to bind to cardiac cells. The natural function of CAR and mechanism that the Coxsackievirus uses to infect the cardiac muscle is still unknown.[18] The mechanism by which coxsackie B viruses (CBVs) trigger inflammation is believed to be through the recognition of CBV virions by Toll-like receptors.[18]
The binding of the SARS-CoV-2 virus through ACE2 receptors present in heart tissue may be responsible for direct viral injury leading to myocarditis.[23] In a study done during the SARS outbreak, SARS virus RNA was ascertained in the autopsy of heart specimens in 35% of the patients who died due to SARS.[36] It was also observed that an already diseased heart has increased expression of ACE2 receptor contrasted to healthy individuals. Hyperactive immune responses in COVID-19 Patients may lead to the initiation of the cytokine storm. This excess release of cytokines may lead to myocardial injury.[23]
Diagnosis



Myocarditis refers to an underlying process that causes inflammation and injury of the heart. It does not refer to inflammation of the heart as a consequence of some other insult. Many secondary causes, such as a heart attack, can lead to inflammation of the myocardium and therefore the diagnosis of myocarditis cannot be made by evidence of inflammation of the myocardium alone.[37][38]
Myocardial inflammation can be suspected on the basis of electrocardiographic (ECG) results, elevated C-reactive protein (CRP) and/or erythrocyte sedimentation rate (ESR), and increased IgM (serology) against viruses known to affect the myocardium. Markers of myocardial damage (troponin or creatine kinase cardiac isoenzymes) are elevated.[10]
The ECG findings most commonly seen in myocarditis are diffuse T wave inversions; saddle-shaped ST-segment elevations may be present (these are also seen in pericarditis).[10]
The gold standard is the biopsy of the myocardium, in general done in the setting of angiography. A small tissue sample of the endocardium and myocardium is taken and investigated. The cause of the myocarditis can be only identified by a biopsy. Endomyocardial biopsy samples are assessed for histopathology (how the tissue looks like under the microscope): myocardial interstitium may show abundant edema and inflammatory infiltrate, rich in lymphocytes and macrophages. Focal destruction of myocytes explains the myocardial pump failure.[10] In addition samples may be assessed with immunohistochemistry to determine which types of immune cells are involved in the reaction and how they are distributed. Furthermore, PCR and/or RT-PCR may be performed to identify particular viruses. Finally, further diagnostic methods like microRNA assays and gene-expression profile may be performed.
Cardiac magnetic resonance imaging (cMRI or CMR) has been shown to be very useful in diagnosing myocarditis by visualizing markers for inflammation of the myocardium.[39] Consensus criteria for the diagnosis of myocarditis by CMR were published in 2009.[40]
Treatment
While myocarditis has many etiologies and a variable constellation of signs and symptoms, there are few causes that are treatable and thus the main focus is on symptom management.[16] In cases with biopsy-proven myocarditis, the causative cell type can indicate potentially beneficial treatments. These treatments typically consist of corticosteroids, or medications with known benefits in certain autoimmune and systemic conditions.[42] In a majority of cases, the main therapies are used to support patients and are dependent on the severity of symptoms and the time course across which myocarditis develops.[16] Supportive therapies can be divided into two broad categories, medications and mechanical support, since there has yet to be any demonstrated benefits from complementary therapies.[43]
Medication
The specific medications that are used to support patients are directly related to the cause of the symptom or sign. Just as the symptoms of myocarditis mirror those of congestive heart failure, so too do the therapies.[42] Additionally, the order in which therapies are used depends on the degree of heart dysfunction, with stabilization of patient blood pressure and breathing taking highest priority when present.[16] This can involve the use of inotropes, or medications that make the heart contract with greater force, as well as antiarrhythmic drugs such as adenosine or carvedilol.[14] In patients that have stable and adequate heart function, further treatments are based on heart failure guidelines.[42] ACE inhibitors can have a protective benefit to the heart, so they are typically used in any patient with symptomatic myocarditis. Simultaneously, beta blockers are used in patients that can tolerate their heart beating at a slower rate. Shortness of breath at rest and swelling can be relieved with diuretics such as furosemide, and the addition of aldosterone receptor blockers can augment the diuresis while preventing the excess loss of potassium. In patients with symptoms while resting, additional medications can be added such as digoxin.[42][44]
Mechanical support
Mechanical support is used in cases of myocarditis in which medications alone do not lead to adequate heart function and the body requires additional support to achieve organ perfusion.[14][15] Myocarditis cases that require mechanical circulatory support are categorized as fulminant by definition.[14] People that require additional support with their heart function can benefit from the use of ventricular assist devices like intra-aortic balloon pumps.[14][15] In people with myocarditis severe enough to cause cardiac arrest, extracorporeal membrane oxygenation (ECMO) is used to adequately pump blood and provide oxygen if needed.[14] Both ventricular assist devices and ECMO can be used as bridge therapy until heart transplantation in patients that are candidates. Heart transplantation is reserved for those that do not respond to the aforementioned conventional medical therapies.[45]
Prognosis
The prognosis associated with myocarditis is stratified by the severity and time course along which symptoms develop. In addition to symptom severity, there are also several indicators of heart function that can be used to predict patient outcomes, many of which are part of the standard evaluation of patients presenting with cardiovascular dysfunction.
An electrocardiogram is one of the most common screening tools used in cases of suspected cardiac pathology, such as myocarditis. The findings that correlate with poorer outcomes are non-specific and include widened QRS complexes and QT intervals, partial or complete atrial-ventricular heart block, and malignant ventricular arrhythmias like sustained ventricular tachycardia or ventricular fibrillation.[46] Electrocardiogram findings of ST elevations with upward concavity and an early repolarization pattern, however, were associated with a better cardiovascular prognosis in general.[46]
In cases of acute myocarditis, cardiac magnetic resonance imaging can reveal several prognostic indicators that, similar to ECGs, are non-specific and reflect poorer cardiac physiology. Late gadolinium enhancement on cardiac MRI demonstrates perturbations in extracellular volume as a result of cell necrosis or edema, and is significantly associated with increases in all-cause mortality, cardiovascular mortality, and major adverse cardiovascular events. The association was strongest with any late gadolinium enhancement, but remained true for findings of anterolateral-specific enhancement.[47][48] A similar relationship was found between a left ventricular ejection fraction < 50%, increased mortality, and increased major adverse cardiovascular events.[49]
Myocarditis has been reported to be a major cause of sudden cardiac death (SCD) in infants, adolescents, and young adults, but the reported rates show wide variation (1 to 14 percent) among young people depending on differences in SCD definition and classification/ definition of myocarditis post-mortem as well as inhomogeneity in the study populations.[50] And one has also to distinguish between studies about myocarditis in general and fulminant myocarditis.[51]
Epidemiology
The exact incidence of myocarditis is unknown since many cases are not associated with any symptoms. However, in series of routine autopsies, 1–9% of all patients had evidence of myocardial inflammation.
The prevalence rate of myocarditis is estimated to be about 22 cases per 100,000 persons annually.[52] Fulminant myocarditis, the most severe subtype, has been shown to occur in up to 2.5% of known myocarditis presentations. When looking at different causes of myocarditis, viral infection is the most prevalent, especially in children; however, the prevalence rate of myocarditis is often underestimated since the condition is easily overlooked.[52] Viral myocarditis being an outcome of viral infection depends heavily on genetic host factors and the pathogenicity unique to the virus.[53] If one tests positive for an acute viral infection, clinical developments have discovered that 1-5% of said population may show some form of myocarditis.[52] One notable instance of viral myocarditis is the involvement of the SARS-CoV-2 virus; myocarditis from SARS-CoV-2 is associated with a spectrum of severities from asymptomatic to fulminant, and is a complication in approximately 2-7% of COVID-19 cases.[23][54][55]
In regard to the population affected, myocarditis is more common in pregnant women, children, and those who are immunocompromised.[56] Myocarditis, however, has shown to be more common in the male population than in the female.[52] Multiple studies report a 1:1.3-1.7 female-male ratio of prevalence of myocarditis.[57] In young adults, up to 20% of all cases of sudden death are due to myocarditis.[10] Young males specifically have a higher incidence rate than any other population due to their testosterone levels creating a greater inflammatory response that increases the chance of cardiac pathologies.[52] While males tend to have a higher risk of developing myocarditis, females tend to display more severe signs and symptoms, such as ventricular tachycardia and ventricular fibrillation, but do so at an older age.[52] Among patients with HIV, myocarditis is the most common cardiac pathological finding at autopsy, with a prevalence of 50% or more.[58]
Myocarditis is the third most common cause of death among young adults with a cumulative incidence rate globally of 1.5 cases per 100,000 persons annually.[56] Myocarditis accounts for approximately 20% of sudden cardiac death in a variety of populations, including adults under the age of 40, young athletes, United States Air Force recruits, and elite Swedish orienteers.[10] With individuals who develop (fulminant?)[59] myocarditis, the first year is difficult as a collection of cases have shown there is a 20% mortality rate.[14]
History
Cases of myocarditis have been documented as early as the 1600s,[60] but the term "myocarditis", implying an inflammatory process of the myocardium, was introduced by German physician Joseph Friedrich Sobernheim in 1837.[61] However, the term has been confused with other cardiovascular conditions, such as hypertension and ischemic heart disease.[62] Following admonition regarding the indiscriminate use of myocarditis as a diagnosis from authorities such as British cardiologist Sir Thomas Lewis and American cardiologist and a co-founder of the American Heart Association Paul White, myocarditis was under-diagnosed.[62]
Although myocarditis is clinically and pathologically clearly defined as "inflammation of the myocardium", its definition, classification, diagnosis, and treatment are subject to continued controversy, but endomyocardial biopsy has helped define the natural history of myocarditis and clarify clinicopathological correlations.[63]
References
- Cooper LT (April 2009). "Myocarditis". The New England Journal of Medicine. 360 (15): 1526–38. doi:10.1056/nejmra0800028. PMC 5814110. PMID 19357408.
- Kindermann I, Barth C, Mahfoud F, Ukena C, Lenski M, Yilmaz A, et al. (February 2012). "Update on myocarditis". Journal of the American College of Cardiology. 59 (9): 779–92. doi:10.1016/j.jacc.2011.09.074. PMID 22361396.
- Stouffer G, Runge MS, Patterson C (2010). Netter's Cardiology E-Book. Elsevier Health Sciences. p. 181. ISBN 9781437736502.
- Vos, Theo; Allen, Christine; Arora, Megha; Barber, Ryan M.; Bhutta, Zulfiqar A.; Brown, Alexandria; Carter, Austin; Casey, Daniel C.; Charlson, Fiona J.; Chen, Alan Z.; Coggeshall, Megan; Cornaby, Leslie; Dandona, Lalit; Dicker, Daniel J.; Dilegge, Tina; Erskine, Holly E.; Ferrari, Alize J.; Fitzmaurice, Christina; Fleming, Tom; Forouzanfar, Mohammad H.; Fullman, Nancy; Gething, Peter W.; Goldberg, Ellen M.; Graetz, Nicholas; Haagsma, Juanita A.; Hay, Simon I.; Johnson, Catherine O.; Kassebaum, Nicholas J.; Kawashima, Toana; et al. (October 2016). "Global, regional, and national incidence, prevalence, and years lived with disability for 310 diseases and injuries, 1990-2015: a systematic analysis for the Global Burden of Disease Study 2015". Lancet. 388 (10053): 1545–1602. doi:10.1016/S0140-6736(16)31678-6. PMC 5055577. PMID 27733282.
- GBD 2015 Mortality and Causes of Death, Collaborators (October 2016). "Global, regional, and national life expectancy, all-cause mortality, and cause-specific mortality for 249 causes of death, 1980-2015: a systematic analysis for the Global Burden of Disease Study 2015". Lancet. 388 (10053): 1459–1544. doi:10.1016/S0140-6736(16)31012-1. PMC 5388903. PMID 27733281.
{{cite journal}}:|first1=has generic name (help) - Vos, Theo; Barber, Ryan M.; Bell, Brad; Bertozzi-Villa, Amelia; Biryukov, Stan; Bolliger, Ian; Charlson, Fiona; Davis, Adrian; Degenhardt, Louisa; Dicker, Daniel; Duan, Leilei; Erskine, Holly; Feigin, Valery L.; Ferrari, Alize J.; Fitzmaurice, Christina; Fleming, Thomas; Graetz, Nicholas; Guinovart, Caterina; Haagsma, Juanita; Hansen, Gillian M.; Hanson, Sarah Wulf; Heuton, Kyle R.; Higashi, Hideki; Kassebaum, Nicholas; Kyu, Hmwe; Laurie, Evan; Liang, Xiofeng; Lofgren, Katherine; Lozano, Rafael; et al. (August 2015). "Global, regional, and national incidence, prevalence, and years lived with disability for 301 acute and chronic diseases and injuries in 188 countries, 1990-2013: a systematic analysis for the Global Burden of Disease Study 2013". Lancet. 386 (9995): 743–800. doi:10.1016/s0140-6736(15)60692-4. PMC 4561509. PMID 26063472.
- Willis M, Homeister JW, Stone JR (2013). Cellular and Molecular Pathobiology of Cardiovascular Disease. Academic Press. p. 135. ISBN 9780124055254. Archived from the original on 2017-11-05.
- GBD 2013 Mortality Causes of Death Collaborators (January 2015). "Global, regional, and national age-sex specific all-cause and cause-specific mortality for 240 causes of death, 1990-2013: a systematic analysis for the Global Burden of Disease Study 2013". Lancet. 385 (9963): 117–71. doi:10.1016/S0140-6736(14)61682-2. PMC 4340604. PMID 25530442.
{{cite journal}}:|author1=has generic name (help) - Cunha BA (2009). Infectious Diseases in Critical Care Medicine. CRC Press. p. 263. ISBN 9781420019605. Archived from the original on 2017-11-05.
- Feldman AM, McNamara D (November 2000). "Myocarditis". The New England Journal of Medicine. 343 (19): 1388–98. doi:10.1056/NEJM200011093431908. PMID 11070105.
- "Myocarditis". The Lecturio Medical Concept Library. Retrieved 11 August 2021.
- "Pericarditis". Lecturio. 23 July 2020. Retrieved 11 August 2021.
- Bejiqi, Ramush; Retkoceri, Ragip; Maloku, Arlinda; Mustafa, Aferdita; Bejiqi, Hana; Bejiqi, Rinor (4 January 2019). "The Diagnostic and Clinical Approach to Pediatric Myocarditis: A Review of the Current Literature". Open Access Macedonian Journal of Medical Sciences. 7 (1): 162–173. doi:10.3889/oamjms.2019.010. ISSN 1857-9655. PMC 6352488. PMID 30740183.
- Sharma AN, Stultz JR, Bellamkonda N, Amsterdam EA (December 2019). "Fulminant Myocarditis: Epidemiology, Pathogenesis, Diagnosis, and Management". The American Journal of Cardiology. 124 (12): 1954–1960. doi:10.1016/j.amjcard.2019.09.017. PMID 31679645. S2CID 204061292.
- Hang, Weijian; Chen, Chen; Seubert, John M.; Wang, Dao Wen (11 December 2020). "Fulminant myocarditis: a comprehensive review from etiology to treatments and outcomes". Signal Transduction and Targeted Therapy. 5 (1): 287. doi:10.1038/s41392-020-00360-y. ISSN 2059-3635. PMC 7730152. PMID 33303763.
- Ammirati, Enrico; Veronese, Giacomo; Bottiroli, Maurizio; Wang, Dao Wen; Cipriani, Manlio; Garascia, Andrea; Pedrotti, Patrizia; Adler, Eric D.; Frigerio, Maria (August 2021). "Update on acute myocarditis". Trends in Cardiovascular Medicine. 31 (6): 370–379. doi:10.1016/j.tcm.2020.05.008. ISSN 1873-2615. PMC 7263216. PMID 32497572.
- Blauwet, Lori A.; Cooper, Leslie T. (2010). "Myocarditis". Progress in Cardiovascular Diseases. 52 (4): 274–288. doi:10.1016/j.pcad.2009.11.006. ISSN 0033-0620. PMC 5951175. PMID 20109598.
- Marín-García J (2007). Post-Genomic Cardiology. Academic Press. p. 416. ISBN 978-0123736987.
- Rose NR (2016). "Viral myocarditis". Current Opinion in Rheumatology. 28 (4): 383–9. doi:10.1097/BOR.0000000000000303. PMC 4948180. PMID 27166925.
- Piccirillo, Francesco; Watanabe, Mikiko; Di Sciascio, Germano (September 2021). "Diagnosis, treatment and predictors of prognosis of myocarditis. A narrative review". Cardiovascular Pathology. 54: 107362. doi:10.1016/j.carpath.2021.107362. ISSN 1879-1336. PMID 34192559.
- Andréoletti, Laurent; Lévêque, Nicolas; Boulagnon, Camille; Brasselet, Camille; Fornes, Paul (2009-06-01). "Viral causes of human myocarditis". Archives of Cardiovascular Diseases. 102 (6): 559–568. doi:10.1016/j.acvd.2009.04.010. ISSN 1875-2136. PMID 19664576.
- Sheppard M (2011). Practical Cardiovascular Pathology, 2nd edition. CRC Press. p. 197. ISBN 9780340981931.
- Rathore, Sawai Singh; Rojas, Gianpier Alonzo; Sondhi, Manush; Pothuru, Suveenkrishna; Pydi, Reshma; Kancherla, Neeraj; Singh, Romil; Ahmed, Noman Khurshid; Shah, Jill; Tousif, Sohaib; Baloch, Unaiza Tariq (2021). "Myocarditis associated with Covid-19 disease: A systematic review of published case reports and case series". International Journal of Clinical Practice. 75 (11): e14470. doi:10.1111/ijcp.14470. ISSN 1742-1241. PMID 34235815. S2CID 235768792.
- Zhou, Zier; Ortiz Lopez, Hector Isaac Alejandro; Pérez, Gonzalo Emanuel; Burgos, Lucrecia Maria; Farina, Juan María; Saldarriaga, Clara; Lopez-Santi, Ricardo; Cotella, Juan Ignacio; Pérez, Ana Laura Sauce; Baranchuk, Adrian (March 2021). "Toxoplasmosis and the Heart". Current Problems in Cardiology. 46 (3): 100741. doi:10.1016/j.cpcardiol.2020.100741. ISSN 1535-6280. PMID 33183832. S2CID 226850411.
- Dinis P, Teixeira R, Puga L, Lourenço C, Cachulo MC, Gonçalves L (June 2018). "Eosinophilic Myocarditis: Clinical Case and Literature Review". Arquivos Brasileiros de Cardiologia. 110 (6): 597–599. doi:10.5935/abc.20180089. PMC 6023626. PMID 30226920.
- Nicholson PJ, Quinn MJ, Dodd JD (December 2010). "Headshop heartache: acute mephedrone 'meow' myocarditis". Heart. 96 (24): 2051–2. doi:10.1136/hrt.2010.209338. PMID 21062771. S2CID 36684597.
- Kindermann, Ingrid; Barth, Christine; Mahfoud, Felix; Ukena, Christian; Lenski, Matthias; Yilmaz, Ali; Klingel, Karin; Kandolf, Reinhard; Sechtem, Udo; Cooper, Leslie T.; B, öhm Michael (28 Feb 2012). "Update on Myocarditis". Journal of the American College of Cardiology. 59 (9): 779–792. doi:10.1016/j.jacc.2011.09.074. PMID 22361396.
- Parsamanesh, Negin; Karami-Zarandi, Morteza; Banach, Maciej; Penson, Peter E.; Sahebkar, Amirhossein (July 2021). "Effects of statins on myocarditis: A review of underlying molecular mechanisms". Progress in Cardiovascular Diseases. 67: 53–64. doi:10.1016/j.pcad.2021.02.008. ISSN 1873-1740. PMID 33621589. S2CID 232037014.
- Keinath, K.; Church, T.; Kurth, B.; Hulten, E. (2018-03-22). "Myocarditis secondary to smallpox vaccination". BMJ Case Reports. Vol. 2018. doi:10.1136/bcr-2017-223523. PMC 5878341. PMID 29572367.
- "Myocarditis and Pericarditis After mRNA COVID-19 Vaccination". Retrieved 2022-01-16.
- "Moderna COVID-19 shot likelier to cause heart inflammation than Pfizer's: study". 2021-12-17. Retrieved 2022-01-16.
- Public health Ontario (November 2021). "Myocarditis and Pericarditis after COVID-19 mRNA Vaccines" (PDF). Retrieved 2022-01-16.
{{cite journal}}: Cite journal requires|journal=(help) - Oster, Matthew E.; Shay, David K.; Su, John R.; Gee, Julianne; Creech, C. Buddy; Broder, Karen R.; Edwards, Kathryn; Soslow, Jonathan H.; Dendy, Jeffrey M.; Schlaudecker, Elizabeth; Lang, Sean M. (2022-01-25). "Myocarditis Cases Reported After mRNA-Based COVID-19 Vaccination in the US From December 2020 to August 2021". JAMA. 327 (4): 331–340. doi:10.1001/jama.2021.24110. ISSN 0098-7484. PMC 8790664. PMID 35076665. S2CID 246278772.
- Li, Can; Chen, Yanxia; Zhao, Yan; Lung, David Christopher; Ye, Zhanhong; Song, Wenchen; Liu, Fei-Fei; Cai, Jian-Piao; Wong, Wan-Man; Yip, Cyril Chik-Yan; Chan, Jasper Fuk-Woo (2021-08-18). "Intravenous injection of COVID-19 mRNA vaccine can induce acute myopericarditis in mouse model". Clinical Infectious Diseases: ciab707. doi:10.1093/cid/ciab707. ISSN 1537-6591. PMC 8436386. PMID 34406358.
Brief withdrawal of syringe plunger to exclude blood aspiration may be one possible way to reduce such risk.
- Séguéla PE, Iriart X, Acar P, Montaudon M, Roudaut R, Thambo JB (April 2015). "Eosinophilic cardiac disease: Molecular, clinical and imaging aspects". Archives of Cardiovascular Diseases. 108 (4): 258–68. doi:10.1016/j.acvd.2015.01.006. PMID 25858537.
- Oudit, G. Y.; Kassiri, Z.; Jiang, C.; Liu, P. P.; Poutanen, S. M.; Penninger, J. M.; Butany, J. (July 2009). "SARS-coronavirus modulation of myocardial ACE2 expression and inflammation in patients with SARS". European Journal of Clinical Investigation. 39 (7): 618–625. doi:10.1111/j.1365-2362.2009.02153.x. ISSN 1365-2362. PMC 7163766. PMID 19453650.
- Kumar V, Abbas AK, Fausto N, Mitchell RN (2007). Robbins Basic Pathology (8th ed.). Saunders Elsevier. pp. 414–416. ISBN 978-1-4160-2973-1.
- Baughman KL (January 2006). "Diagnosis of myocarditis: death of Dallas criteria". Circulation. 113 (4): 593–5. doi:10.1161/CIRCULATIONAHA.105.589663. PMID 16449736.
- Skouri HN, Dec GW, Friedrich MG, Cooper LT (November 2006). "Noninvasive imaging in myocarditis". Journal of the American College of Cardiology. 48 (10): 2085–93. doi:10.1016/j.jacc.2006.08.017. PMID 17112998.
- Friedrich MG, Sechtem U, Schulz-Menger J, Holmvang G, Alakija P, Cooper LT, et al. (April 2009). "Cardiovascular magnetic resonance in myocarditis: A JACC White Paper". Journal of the American College of Cardiology. 53 (17): 1475–87. doi:10.1016/j.jacc.2009.02.007. PMC 2743893. PMID 19389557.
- "UOTW #7 - Ultrasound of the Week". Ultrasound of the Week. 30 June 2014. Archived from the original on 8 May 2017. Retrieved 27 May 2017.
- Tschöpe, Carsten; Cooper, Leslie T.; Torre-Amione, Guillermo; Van Linthout, Sophie (24 May 2019). "Management of Myocarditis-Related Cardiomyopathy in Adults". Circulation Research. 124 (11): 1568–1583. doi:10.1161/circresaha.118.313578. ISSN 0009-7330. PMID 31120823. S2CID 163167097.
- Liu ZL, Liu ZJ, Liu JP, Kwong JS (August 2013). Liu JP (ed.). "Herbal medicines for viral myocarditis". The Cochrane Database of Systematic Reviews. 8 (8): CD003711. doi:10.1002/14651858.CD003711.pub5. PMID 23986406.
- Yancy, Clyde W.; Jessup, Mariell; Bozkurt, Biykem; Butler, Javed; Casey, Donald E.; Colvin, Monica M.; Drazner, Mark H.; Filippatos, Gerasimos S.; Fonarow, Gregg C.; Givertz, Michael M.; Hollenberg, Steven M. (8 August 2017). "2017 ACC/AHA/HFSA Focused Update of the 2013 ACCF/AHA Guideline for the Management of Heart Failure". Journal of the American College of Cardiology. 70 (6): 776–803. doi:10.1016/j.jacc.2017.04.025. PMID 28461007.
- Aziz KU, Patel N, Sadullah T, Tasneem H, Thawerani H, Talpur S (October 2010). "Acute viral myocarditis: role of immunosuppression: a prospective randomised study". Cardiology in the Young. 20 (5): 509–15. doi:10.1017/S1047951110000594. PMID 20584348. S2CID 46176024.
- Buttà, Carmelo; Zappia, Luca; Laterra, Giulia; Roberto, Marco (May 2020). "Diagnostic and prognostic role of electrocardiogram in acute myocarditis: A comprehensive review". Annals of Noninvasive Electrocardiology. 25 (3). doi:10.1111/anec.12726. ISSN 1542-474X. PMC 7958927. PMID 31778001.
- Georgiopoulos, Georgios; Figliozzi, Stefano; Sanguineti, Francesca; Aquaro, Giovanni Donato; di Bella, Gianluca; Stamatelopoulos, Kimon; Chiribiri, Amedeo; Garot, Jerome; Masci, Pier Giorgio; Ismail, Tevfik F. (January 2021). "Prognostic Impact of Late Gadolinium Enhancement by Cardiovascular Magnetic Resonance in Myocarditis: A Systematic Review and Meta-Analysis". Circulation: Cardiovascular Imaging. 14 (1): e011492. doi:10.1161/CIRCIMAGING.120.011492. ISSN 1942-0080. PMID 33441003. S2CID 231606373.
- Feger, Joachim. "Late gadolinium enhancement | Radiology Reference Article | Radiopaedia.org". Radiopaedia. Retrieved 2021-12-01.
- Yang, Fuyao; Wang, Jie; Li, Weihao; Xu, Yuanwei; Wan, Ke; Zeng, Rui; Chen, Yucheng (May 2020). "The prognostic value of late gadolinium enhancement in myocarditis and clinically suspected myocarditis: systematic review and meta-analysis". European Radiology. 30 (5): 2616–2626. doi:10.1007/s00330-019-06643-5. ISSN 1432-1084. PMID 32040731. S2CID 211074818.
- Lynge, T. H.; Nielsen, T. S.; Gregers Winkel, B.; Tfelt-Hansen, J.; Banner, J. (19 August 2019). "Sudden cardiac death caused by myocarditis in persons aged 1–49 years: a nationwide study of 14 294 deaths in Denmark". Forensic Sciences Research. Vol. 4, no. 3. pp. 247–256. doi:10.1080/20961790.2019.1595352. PMC 6713107. PMID 31489390.
- "Fulminant myocarditis: a comprehensive review from etiology to treatments and outcomes". 11 December 2020. Retrieved 30 January 2022.
- Fung G, Luo H, Qiu Y, Yang D, McManus B (February 2016). "Myocarditis". Circulation Research. 118 (3): 496–514. doi:10.1161/CIRCRESAHA.115.306573. PMID 26846643.
- Pankuweit S, Klingel K (November 2013). "Viral myocarditis: from experimental models to molecular diagnosis in patients". Heart Failure Reviews. 18 (6): 683–702. doi:10.1007/s10741-012-9357-4. PMID 23070541. S2CID 36633104.
- Sawalha, Khalid; Abozenah, Mohammed; Kadado, Anis John; Battisha, Ayman; Al-Akchar, Mohammad; Salerno, Colby; Hernandez-Montfort, Jaime; Islam, Ashequl M. (1 February 2021). "Systematic Review of COVID-19 Related Myocarditis: Insights on Management and Outcome". Cardiovascular Revascularization Medicine. 23: 107–113. doi:10.1016/j.carrev.2020.08.028. ISSN 1553-8389. PMC 7434380. PMID 32847728.
- Halushka, Marc K.; Vander Heide, Richard S. (1 Jan 2021). "Myocarditis is rare in COVID-19 autopsies: cardiovascular findings across 277 postmortem examinations". Cardiovascular Pathology. 50: 107300. doi:10.1016/j.carpath.2020.107300. ISSN 1054-8807. PMC 7583586. PMID 33132119.
- Kang M, An J (2020). "Viral Myocarditis". StatPearls. Treasure Island (FL): StatPearls Publishing. PMID 29083732. Retrieved 2020-11-12.
- Fairweather D, Cooper LT, Blauwet LA (January 2013). "Sex and gender differences in myocarditis and dilated cardiomyopathy". Current Problems in Cardiology. 38 (1): 7–46. doi:10.1016/j.cpcardiol.2012.07.003. PMC 4136454. PMID 23158412.
- Cooper LT (April 2009). "Myocarditis". The New England Journal of Medicine. 360 (15): 1526–38. doi:10.1056/NEJMra0800028. PMC 5814110. PMID 19357408.
- Source article is behind a paywall but according to the title this high rate is perhaps only valid for the fulminant form.
- P. Schölmerich. (1983.) "Myocarditis — Cardiomyopathy Historic Survey and Definition", International Boehringer Mannheim Symposia, 1:5.
- Joseph Friedrich Sobernheim. (1837.) Praktische Diagnostik der inneren Krankheiten mit vorzueglicher Ruecksicht auf pathologische Anatomic. Hirschwald, Berlin, 117.
- Olsen EG (1985). "What is myocarditis?". Heart and Vessels. 1 (1): S1-3. doi:10.1007/BF02072348. S2CID 189916609.
- Magnani JW, Dec GW (February 2006). "Myocarditis: current trends in diagnosis and treatment". Circulation. 113 (6): 876–90. doi:10.1161/CIRCULATIONAHA.105.584532. PMID 16476862. S2CID 1085693.
.JPG.webp)