Jones fracture
A Jones fracture is a break in a specific part of the fifth metatarsal of the foot between the base and middle part[8] known for its high rate of delayed healing or nonunion.[4] It results in pain near the midportion of the foot on the outside.[2] There may also be bruising and difficulty walking.[3] Onset is generally sudden.[4]
| Jones fracture | |
|---|---|
| Other names | Fracture of the metaphysis of the fifth metatarsal[1] |
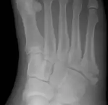
![]() | |
| Jones fracture as seen on Xray | |
| Specialty | Emergency medicine, orthopedics, podiatry |
| Symptoms | Pain near the midportion of the foot on the outside, bruising[2][3] |
| Usual onset | Sudden[4] |
| Duration | 6-12 weeks to heal[5] |
| Causes | Bending the foot inwards when the toes are pointed[6] |
| Diagnostic method | Based on symptoms, X-rays[3] |
| Differential diagnosis | Pseudo-Jones fracture, normal growth plate[3][7] |
| Treatment | Non-weight bearing, cast, surgery[5] |
The fracture typically occurs when the toes are pointed and the foot bends inwards.[6][2] This movement may occur when changing direction while the heel is off the ground such in dancing, tennis, or basketball.[9][10] Diagnosis is generally suspected based on symptoms and confirmed with X-rays.[3]
Initial treatment is typically in a cast, without any walking on it, for at least six weeks.[5] If, after this period of time, healing has not occurred, a further six weeks of casting may be recommended.[5] Due to poor blood supply in this area, the break sometimes does not heal and surgery is required.[3] In athletes, or if the pieces of bone are separated, surgery may be considered sooner.[5][8] The fracture was first described in 1902 by orthopedic surgeon Robert Jones, who sustained the injury while dancing.[11][4]
Diagnosis
A person with a Jones fracture may not realize that a fracture has occurred. Diagnosis includes the palpation of an intact fibularis (peroneus) brevis tendon, and demonstration of local tenderness distal to the tuberosity of the fifth metatarsal, and localized over the shaft of the proximal metatarsal.
Diagnostic x-rays include anteroposterior, oblique, and lateral views and should be made with the foot in full flexion.
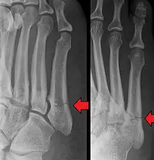
Differential diagnosis

- Proximal diaphysis, typically stress fracture.[12][13]
- Metaphysis: Jones fracture[14]
-Tuberosity: Pseudo-Jones fracture[15] (avulsion fracture).[15]
Normal anatomy:
- Apophysis: Normal at 10 - 16 years.[16]
- Os vesalianum, an accessory bone.[17]

Other proximal fifth metatarsal fractures exist, although they are not as problematic as a Jones fracture. If the fracture enters the intermetatarsal joint, it is a Jones fracture. If, however, it enters the tarsometatarsal joint, then it is likely an avulsion fracture caused by pull from the fibularis (peroneus) brevis tendon. An avulsion fracture at the base of the fifth metatarsal is sometimes called a "dancer's fracture" or a "pseudo Jones fracture", and usually responds readily to non-operative treatment.[18] The x-ray appearance of the developmental "apophysis" in this area may have some resemblance of a fracture, but is not a fracture; it is the secondary ossification center of the metatarsal bone. It is a normal finding that occurs at this site in adolescents.[19] If an injury to that area has occurred, the physician is often able to interpret certain radiographic clues to make the differentiation. An avulsion fracture at this location is typically extra-articular and oriented transversally as compared to the longitudinal orientation of an unfused apophysis.[19]
Treatment
Casting
Initial treatment is typically in a cast, without any weight being placed on it, for at least six weeks.[5] If after this period of time healing has not occurred a further six weeks of casting may be recommended.[5] Up to half, however, may not heal after casting.[2]
Surgery
In athletes or if the pieces of bone are separated by more than 2 mm surgery may be considered.[5][8] In a study of all players who entered the NFL Scouting Combine from 2009 to 2015, the incidence of Jones fracture was 3.2% and all had received surgery to repair the fracture with a metal screw.[20] For persons who are not athletes, surgery might not be recommended unless healing does not occur after a trial of cast treatment.[5]
Prognosis
For several reasons, a Jones fracture may not unite. The diaphyseal bone (zone II), where the fracture occurs, is an area of potentially poor blood supply, existing in a watershed area between two blood supplies. This may compromise healing. In addition, there are various tendons, including the fibularis brevis and fibularis tertius, and two small muscles attached to the bone. These may pull the fracture apart and prevent healing.
Zones I and III have been associated with relatively guaranteed union and this union has taken place with only limited restriction of activity combined with early immobilization. On the other hand, zone II has been associated with either delayed or non-union and, consequently, it has been generally agreed that fractures in this area should be considered for some form of internal immobilization, such as internal screw fixation.
These zones can be identified anatomically and on x-ray adding to the clinical usefulness of this classification.[21] Surgical intervention is not, by itself, a guarantee of cure and has its own complication rate. Other reviews of the literature have concluded that conservative, non-operative, treatment is an acceptable option for the non-athlete.[22]
Anatomy of the fifth metatarsal.
3 zone description
2 zone description
References
- "5th Metatarsal". Emergency Care Institute, New South Wales. 2017-09-19.
- Eltorai AE, Eberson CP, Daniels AH (2017). Orthopedic Surgery Clerkship: A Quick Reference Guide for Senior Medical Students. Springer. pp. 395–397. ISBN 9783319525679. Archived from the original on 2017-10-15.
- "Toe and Forefoot Fractures". OrthoInfo - AAOS. June 2016. Archived from the original on 16 October 2017. Retrieved 15 October 2017.
- Valderrabano V, Easley M (2017). Foot and Ankle Sports Orthopaedics. Springer. p. 430. ISBN 9783319157351. Archived from the original on 2017-10-15.
- Bica D, Sprouse RA, Armen J (February 2016). "Diagnosis and Management of Common Foot Fractures". American Family Physician. 93 (3): 183–91. PMID 26926612.
- Dähnert W (2011). Radiology Review Manual. Lippincott Williams & Wilkins. p. 96. ISBN 9781609139438. Archived from the original on 2017-10-15.
- Conaghan PG, O'Connor P, Isenberg DA (2010). Musculoskeletal Imaging. OUP Oxford. p. 231. ISBN 9780191575273. Archived from the original on 2017-10-15.
- Joel A. DeLisa; Bruce M. Gans; Nicholas E. Walsh (2005). Physical Medicine and Rehabilitation: Principles and Practice. Lippincott Williams & Wilkins. pp. 881–. ISBN 978-0-7817-4130-9. Archived from the original on 2017-01-07.
- Mattu A, Chanmugam AS, Swadron SP, Tibbles C, Woolridge D, Marcucci L (2012). Avoiding Common Errors in the Emergency Department. Lippincott Williams & Wilkins. p. 790. ISBN 9781451152852. Archived from the original on 2017-10-16.
- Lee E (2017). Pediatric Radiology: Practical Imaging Evaluation of Infants and Children. Lippincott Williams & Wilkins. p. Chapter 24. ISBN 9781496380272. Archived from the original on 2017-10-15.
- Jones R (June 1902). "I. Fracture of the Base of the Fifth Metatarsal Bone by Indirect Violence". Annals of Surgery. 35 (6): 697–700.2. PMC 1425723. PMID 17861128.
- Bica D, Sprouse RA, Armen J (February 2016). "Diagnosis and Management of Common Foot Fractures". American Family Physician. 93 (3): 183–91. PMID 26926612.
- "5th Metatarsal". Emergency Care Institute, New South Wales. 2017-09-19.
- "Toe and Forefoot Fractures". OrthoInfo - AAOS. June 2016. Archived from the original on 16 October 2017. Retrieved 15 October 2017.
- Silbergleit R. "Foot Fracture". Medscape.com. Retrieved 19 October 2011.
- Deniz G, Kose O, Guneri B, Duygun F (May 2014). "Traction apophysitis of the fifth metatarsal base in a child: Iselin's disease". BMJ Case Reports. 2014 (may14 4): bcr2014204687–bcr2014204687. doi:10.1136/bcr-2014-204687. PMID 24832713.
- Nwawka OK, Hayashi D, Diaz LE, Goud AR, Arndt WF, Roemer FW, et al. (October 2013). "Sesamoids and accessory ossicles of the foot: anatomical variability and related pathology". Insights Into Imaging. 4 (5): 581–93. doi:10.1007/s13244-013-0277-1. PMC 3781258. PMID 24006205.
- "Toe and Forefoot Fractures/Fifth Metatarsal Fractures". orthoinfo.aaos.org. American Academy of Orthopedic Surgeons. Retrieved November 3, 2021.
- Saber, Mohamed; Sharma, Rohit (March 26, 2021). "Apophysis of the proximal 5th metatarsal". radiopaedia.org. Radiopedia.org. Retrieved November 3, 2021.
- Spang, Robert C. (August 2018). "Jones Fractures Identified at the National Football League Scouting Combine: Assessment of Prognostic Factors, Computed Tomography Findings, and Initial Career Performance". Orthopaedic Journal of Sports Medicine. 6 (8). doi:10.1177/2325967118790740. ISSN 2325-9671. PMC 6113739. PMID 30182027.
- Polzer H, Polzer S, Mutschler W, Prall WC (October 2012). "Acute fractures to the proximal fifth metatarsal bone: development of classification and treatment recommendations based on the current evidence". Injury. 43 (10): 1626–32. doi:10.1016/j.injury.2012.03.010. PMID 22465516.
- Dean BJ, Kothari A, Uppal H, Kankate R (August 2012). "The jones fracture classification, management, outcome, and complications: a systematic review". Foot & Ankle Specialist. 5 (4): 256–9. doi:10.1177/1938640012444730. PMID 22547534. S2CID 37169110.
External links
| Wikimedia Commons has media related to Jones fracture. |
