Cartilage
Cartilage (cartilaginous tissue) is a resilient and smooth elastic tissue, rubber-like padding. In tetrapods, it covers and protects the ends of long bones at the joints and nerves, and is a structural component of the rib cage, the ear, the nose, the bronchial tubes, the intervertebral discs, and many other body components. In other taxa, such as chondrichthyans, but also in cyclostomes, it may constitute a much greater proportion of the skeleton.[1] It is not as hard and rigid as bone, but it is much stiffer and much less flexible than muscle. The matrix of cartilage is made up of glycosaminoglycans, proteoglycans, collagen fibers and, sometimes, elastin.
| Cartilage | |
|---|---|
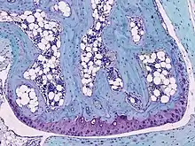
![]() Light micrograph of undecalcified hyaline cartilage showing chondrocytes and organelles, lacunae and matrix. | |
| Identifiers | |
| MeSH | D002356 |
| TA98 | A02.0.00.005 |
| TA2 | 381 |
| Anatomical terminology | |
Because of its rigidity, cartilage often serves the purpose of holding tubes open in the body. Examples include the rings of the trachea, such as the cricoid cartilage and carina.
Cartilage is composed of specialized cells called chondrocytes that produce a large amount of collagenous extracellular matrix, abundant ground substance that is rich in proteoglycan and elastin fibers. Cartilage is classified in three types, elastic cartilage, hyaline cartilage and fibrocartilage, which differ in relative amounts of collagen and proteoglycan.
Cartilage does not contain blood vessels (it is avascular) or nerves (it is aneural). Some fibrocartilage such as the meniscus of the knee does however have blood supply in part. Nutrition is supplied to the chondrocytes by diffusion. The compression of the articular cartilage or flexion of the elastic cartilage generates fluid flow, which assists the diffusion of nutrients to the chondrocytes. Compared to other connective tissues, cartilage has a very slow turnover of its extracellular matrix and is documented to repair at only a very slow rate relative to other tissues.

Structure
Development
In embryogenesis, the skeletal system is derived from the mesoderm germ layer. Chondrification (also known as chondrogenesis) is the process by which cartilage is formed from condensed mesenchyme tissue, which differentiates into chondroblasts and begins secreting the molecules (aggrecan and collagen type II) that form the extracellular matrix. In all vertebrates, cartilage is the main skeletal tissue in early ontogenetic stages;[2][3] in osteichthyans, many cartilaginous elements subsequently ossify through endochondral and perichondral ossification.[4]
Following the initial chondrification that occurs during embryogenesis, cartilage growth consists mostly of the maturing of immature cartilage to a more mature state. The division of cells within cartilage occurs very slowly, and thus growth in cartilage is usually not based on an increase in size or mass of the cartilage itself.[5] It has been identified that non-coding RNAs (e.g. miRNAs and long non-coding RNAs) as the most important epigenetic modulators can affect the chondrogenesis. This also justifies the non-coding RNAs' contribution in various cartilage-dependent pathological conditions such as arthritis, and so on.[6]
Articular cartilage

The articular cartilage function is dependent on the molecular composition of the extracellular matrix (ECM). The ECM consists mainly of proteoglycan and collagens. The main proteoglycan in cartilage is aggrecan, which, as its name suggests, forms large aggregates with hyaluronan. These aggregates are negatively charged and hold water in the tissue. The collagen, mostly collagen type II, constrains the proteoglycans. The ECM responds to tensile and compressive forces that are experienced by the cartilage.[7] Cartilage growth thus refers to the matrix deposition, but can also refer to both the growth and remodeling of the extracellular matrix. Due to the great stress on the patellofemoral joint during resisted knee extension, the articular cartilage of the patella is among the thickest in the human body.
Function
Mechanical properties
The mechanical properties of articular cartilage in load-bearing joints such as the knee and hip have been studied extensively at macro, micro, and nano-scales. These mechanical properties include the response of cartilage in frictional, compressive, shear and tensile loading. Cartilage is resilient and displays viscoelastic properties.[8]
Frictional properties
Lubricin, a glycoprotein abundant in cartilage and synovial fluid, plays a major role in bio-lubrication and wear protection of cartilage.[9]
Repair
Cartilage has limited repair capabilities: Because chondrocytes are bound in lacunae, they cannot migrate to damaged areas. Therefore, cartilage damage is difficult to heal. Also, because hyaline cartilage does not have a blood supply, the deposition of new matrix is slow. Over the last years, surgeons and scientists have elaborated a series of cartilage repair procedures that help to postpone the need for joint replacement. A tear of the meniscus of the knee cartilage can often be surgically trimmed to reduce problems.
Biological engineering techniques are being developed to generate new cartilage, using a cellular "scaffolding" material and cultured cells to grow artificial cartilage.[10] Extensive researches have been conducted on freeze-thawed PVA hydrogels as a base material for such a purpose.[11] These gels have exhibited great promises in terms of biocompatibility, wear resistance, shock absorption, friction coefficient, flexibility, and lubrication, and thus are considered superior to polyethylene-based cartilages. A two-year implantation of the PVA hydrogels as artificial meniscus in rabbits showed that the gels remain intact without degradation, fracture, or loss of properties.[11]
Clinical significance

Disease
Several diseases can affect cartilage. Chondrodystrophies are a group of diseases, characterized by the disturbance of growth and subsequent ossification of cartilage. Some common diseases that affect the cartilage are listed below.
- Osteoarthritis: Osteoarthritis is a disease of the whole joint, however, one of the most affected tissues is the articular cartilage. The cartilage covering bones (articular cartilage—a subset of hyaline cartilage) is thinned, eventually completely wearing away, resulting in a "bone against bone" within the joint, leading to reduced motion, and pain. Osteoarthritis affects the joints exposed to high stress and is therefore considered the result of "wear and tear" rather than a true disease. It is treated by arthroplasty, the replacement of the joint by a synthetic joint often made of a stainless steel alloy (cobalt chromoly) and ultra-high-molecular-weight polyethylene (UHMWPE). Chondroitin sulfate or glucosamine sulfate supplements, have been claimed to reduce the symptoms of osteoarthritis, but there is little good evidence to support this claim.[12]
- Traumatic rupture or detachment: The cartilage in the knee is frequently damaged but can be partially repaired through knee cartilage replacement therapy. Often when athletes talk of damaged "cartilage" in their knee, they are referring to a damaged meniscus (a fibrocartilage structure) and not the articular cartilage.
- Achondroplasia: Reduced proliferation of chondrocytes in the epiphyseal plate of long bones during infancy and childhood, resulting in dwarfism.
- Costochondritis: Inflammation of cartilage in the ribs, causing chest pain.
- Spinal disc herniation : Asymmetrical compression of an intervertebral disc ruptures the sac-like disc, causing a herniation of its soft content. The hernia often compresses the adjacent nerves and causes back pain.
- Relapsing polychondritis: a destruction, probably autoimmune, of cartilage, especially of the nose and ears, causing disfiguration. Death occurs by asphyxiation as the larynx loses its rigidity and collapses.
Tumors made up of cartilage tissue, either benign or malignant, can occur. They usually appear in bone, rarely in pre-existing cartilage. The benign tumors are called chondroma, the malignant ones chondrosarcoma. Tumors arising from other tissues may also produce a cartilage-like matrix, the best-known being pleomorphic adenoma of the salivary glands.
The matrix of cartilage acts as a barrier, preventing the entry of lymphocytes or diffusion of immunoglobulins. This property allows for the transplantation of cartilage from one individual to another without fear of tissue rejection.
Imaging
Cartilage does not absorb X-rays under normal in vivo conditions, but a dye can be injected into the synovial membrane that will cause the x-rays to be absorbed by the dye. The resulting void on the radiographic film between the bone and meniscus represents the cartilage. For In vitro x-ray scans, the outer soft tissue is most likely removed, so the cartilage and air boundary are enough to contrast the presence of cartilage due to the refraction of the x-ray.[13]

Other animals
Cartilaginous fish
Cartilaginous fish (chondrichthyes) or sharks, rays and chimaeras have a skeleton composed entirely of cartilage.
Invertebrate cartilage
Cartilage tissue can also be found among some arthropods such as horseshoe crabs, some mollusks such as marine snails and cephalopods, and some annelids like sabellid polychaetes.
Arthropods
The most studied cartilage in arthropods is the branchial cartilage of Limulus polyphemus. It is a vesicular cell-rich cartilage due to the large, spherical and vacuolated chondrocytes with no homologies in other arthropods. Other type of cartilage found in Limulus polyphemus is the endosternite cartilage, a fibrous-hyaline cartilage with chondrocytes of typical morphology in a fibrous component, much more fibrous than vertebrate hyaline cartilage, with mucopolysaccharides immunoreactive against chondroitin sulfate antibodies. There are homologous tissues to the endosternite cartilage in other arthropods.[14] The embryos of Limulus polyphemus express ColA and hyaluronan in the gill cartilage and the endosternite, which indicates that these tissues are fibrillar-collagen-based cartilage. The endosternite cartilage forms close to Hh-expressing ventral nerve cords and expresses ColA and SoxE, a Sox9 analog. This is also seen in gill cartilage tissue.[15]
Mollusks
In cephalopods, the models used for the studies of cartilage are Octopus vulgaris and Sepia officinalis. The cephalopod cranial cartilage is the invertebrate cartilage that shows more resemblance to the vertebrate hyaline cartilage. The growth is thought to take place throughout the movement of cells from the periphery to the center. The chondrocytes present different morphologies related to their position in the tissue.[14] The embryos of Sepia officinalis express ColAa, ColAb, and hyaluronan in the cranial cartilages and other regions of chondrogenesis. This implies that the cartilage is fibrillar-collagen-based. The Sepia officinalis embryo expresses hh, whose presence causes ColAa and ColAb expression and is also able to maintain proliferating cells undiferentiated. It has been observed that this species presents the expression SoxD and SoxE, analogs of the vertebrate Sox5/6 and Sox9, in the developing cartilage. The cartilage growth pattern is the same as in vertebrate cartilage.[15]
In gastropods, the interest lies in the odontophore, a cartilaginous structure that supports the radula. The most studied species regarding this particular tissue is Busycotypus canaliculatus. The odontophore is a vesicular cell rich cartilage, consisting of vacuolated cells containing myoglobin, surrounded by a low amount of extra cellular matrix containing collagen. The odontophore contains muscle cells along with the chondrocytes in the case of Lymnaea and other mollusks that graze vegetation.[14]
Sabellid polychaetes
The Sabellid polychaetes, or feather duster worms, have cartilage tissue with cellular and matrix specialization supporting their tentacles. They present two distinct extracellular matrix regions. These regions are an acellular fibrous region with a high collagen content, called cartilage-like matrix, and collagen lacking a highly cellularized core, called osteoid-like matrix. The cartilage-like matrix surrounds the osteoid-like matrix. The amount of the acellular fibrous region is variable. The model organisms used in the study of cartilage in sabellid polychaetes are Potamilla sp and Myxicola infundibulum.[14]
Plants and fungi
Vascular plants, particularly seeds, and the stems of some mushrooms, are sometimes called "cartilaginous", although they contain no cartilage.[16]
Biomechanics
References
- de Buffrénil, Vivian; de Ricqlès, Armand J; Zylberberg, Louise; Padian, Kevin; Laurin, Michel; Quilhac, Alexandra (2021). Vertebrate skeletal histology and paleohistology (Firstiton ed.). Boca Raton, FL: CRC Press. pp. xii + 825. ISBN 978-1351189576.
- Buffrénil, Vivian de; Quilhac, Alexandra (2021). "An Overview of the Embryonic Development of the Bony Skeleton". Vertebrate Skeletal Histology and Paleohistology. CRC Press: 29–38. doi:10.1201/9781351189590-2. ISBN 9781351189590. S2CID 236422314.
- Quilhac, Alexandra (2021). "An Overview of Cartilage Histology". Vertebrate Skeletal Histology and Paleohistology. CRC Press: 123–146. doi:10.1201/9781351189590-7. ISBN 9781351189590. S2CID 236413810.
- Cervantes-Diaz, Fret; Contreras, Pedro; Marcellini, Sylvain (March 2017). "Evolutionary origin of endochondral ossification: the transdifferentiation hypothesis". Development Genes and Evolution. 227 (2): 121–127. doi:10.1007/s00427-016-0567-y. PMID 27909803. S2CID 21024809.
- Asanbaeva A, Masuda K, Thonar EJ, Klisch SM, Sah RL (January 2008). "Cartilage growth and remodeling: modulation of balance between proteoglycan and collagen network in vitro with beta-aminopropionitrile". Osteoarthritis and Cartilage. 16 (1): 1–11. doi:10.1016/j.joca.2007.05.019. PMID 17631390.
- Razmara E, Bitaraf A, Yousefi H, Nguyen TH, Garshasbi M, Cho WC, Babashah S (September 2019). "Non-Coding RNAs in Cartilage Development: An Updated Review". International Journal of Molecular Sciences. 20 (18): 4475. doi:10.3390/ijms20184475. PMC 6769748. PMID 31514268.
- Asanbaeva A, Tam J, Schumacher BL, Klisch SM, Masuda K, Sah RL (June 2008). "Articular cartilage tensile integrity: modulation by matrix depletion is maturation-dependent". Archives of Biochemistry and Biophysics. 474 (1): 175–82. doi:10.1016/j.abb.2008.03.012. PMC 2440786. PMID 18394422.
- Hayes WC, Mockros LF (October 1971). "Viscoelastic properties of human articular cartilage" (PDF). Journal of Applied Physiology. 31 (4): 562–8. doi:10.1152/jappl.1971.31.4.562. PMID 5111002.
- Rhee DK, Marcelino J, Baker M, Gong Y, Smits P, Lefebvre V, et al. (March 2005). "The secreted glycoprotein lubricin protects cartilage surfaces and inhibits synovial cell overgrowth". The Journal of Clinical Investigation. 115 (3): 622–31. doi:10.1172/JCI22263. PMC 548698. PMID 15719068.
- International Cartilage Repair Society ICRS
- Adelnia, Hossein; Ensandoost, Reza; Shebbrin Moonshi, Shehzahdi; Gavgani, Jaber Nasrollah; Vasafi, Emad Izadi; Ta, Hang Thu (2022-02-05). "Freeze/thawed polyvinyl alcohol hydrogels: Present, past and future". European Polymer Journal. 164: 110974. doi:10.1016/j.eurpolymj.2021.110974. ISSN 0014-3057. S2CID 245576810.
- "Supplements for osteoarthritis 'do not work'". BBC News. 16 September 2010.
- Osteoarthritis. Osteoarthritis.about.com. Retrieved on 2015-10-26.
- Cole AG, Hall BK (2004). "The nature and significance of invertebrate cartilages revisited: distribution and histology of cartilage and cartilage-like tissues within the Metazoa". Zoology. 107 (4): 261–73. doi:10.1016/j.zool.2004.05.001. PMID 16351944.
- Tarazona OA, Slota LA, Lopez DH, Zhang G, Cohn MJ (May 2016). "The genetic program for cartilage development has deep homology within Bilateria". Nature. 533 (7601): 86–9. Bibcode:2016Natur.533...86T. doi:10.1038/nature17398. PMID 27111511. S2CID 3932905.
- Eflora – Glossary. University of Sydney (2010-06-16). Retrieved on 2015-10-26.
Further reading
- Keller-Peck C (2008). Vertebrate Histology, ZOOL 400. Boise State University.
External links
- Cartilage.org, International Cartilage Regeneration & Joint Preservation Society
- KUMC.edu Archived 2011-04-08 at the Wayback Machine, Cartilage tutorial, University of Kansas Medical Center
- Bartleby.com, text from Gray's anatomy
- MadSci.org, I've heard 'Ears and nose do not ever stop growing.' Is this false?
- CartilageHealth.com, Information on Articular Cartilage Injury Prevention, Repair and Rehabilitation
- About.com, Osteoarthritis
- Cartilage types
- Different cartilages on TheFreeDictionary
- Cartilage photomicrographs
