Caput medusae
Caput medusae is the appearance of distended and engorged superficial epigastric veins, which are seen radiating from the umbilicus across the abdomen. The name caput medusae (Latin for "head of Medusa") originates from the apparent similarity to Medusa's head, which had venomous snakes in place of hair. It is also a sign of portal hypertension.[1] It is caused by dilation of the paraumbilical veins, which carry oxygenated blood from mother to fetus in utero and normally close within one week of birth, becoming re-canalised due to portal hypertension caused by liver failure.
| Caput medusae | |
|---|---|
| Other names | Palm tree sign |
![]() | |
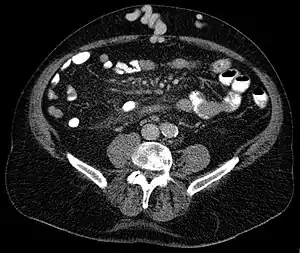
| Axial CT showing portosystemic collateral circulation via the umbilical vein: caput medusae in liver cirrhosis | |
| Specialty | Gastroenterology |
Differential diagnosis
Inferior vena cava obstruction
- Produces abdominal collateral veins to bypass the blocked inferior vena cava and permit venous return from the legs.
Determine the direction of flow in the veins below the umbilicus. After pushing down on the prominent vein, blood will:
- flow toward the legs → caput medusae
- flow toward the head → inferior vena cava obstruction.
See also
References
- Mohammed, Ayad Ahmad (2020-04-24). "Caput medusae sign; a unique finding during abdominal examination in patients with portal hypertension; case report". Annals of Medicine and Surgery. 54: 54–56. doi:10.1016/j.amsu.2020.04.004. ISSN 2049-0801. PMC 7191313. PMID 32373342.
External links
This article is issued from Wikipedia. The text is licensed under Creative Commons - Attribution - Sharealike. Additional terms may apply for the media files.
