Balloon cell nevus
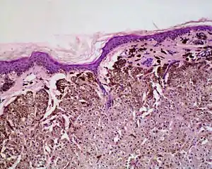
Balloon cell nevi are a cutaneous condition characterized histologically by large, pale, polyhedral balloon cells.[1]: 689 [2]
| Balloon cell nevus | |
|---|---|
![]() | |
| Specialty | Dermatology |
See also
References
- James, William D.; Berger, Timothy G.; et al. (2006). Andrews' Diseases of the Skin: clinical Dermatology. Saunders Elsevier. ISBN 978-0-7216-2921-6.
- Martinez-Casimiro L, Sánchez Carazo JL, Alegre V (February 2009). "Balloon cell naevus". J Eur Acad Dermatol Venereol. 23 (2): 236–7. doi:10.1111/j.1468-3083.2008.02823.x. PMID 18624847.
External links
This article is issued from Wikipedia. The text is licensed under Creative Commons - Attribution - Sharealike. Additional terms may apply for the media files.
