Acrospiroma
Acrospiroma is a cutaneous condition, primarily occurring in adult women, that is a form of benign adnexal neoplasm closely related to poroma.[1]
| Acrospiroma | |
|---|---|
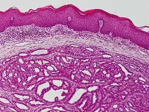
| Other names | Hidradenoma |
![]() | |
| Tubular hidradenoma, apocrine | |
| Specialty | Dermatology |
Additional images

A hidradenoma, here a benign neoplasm of the sweat glands of the cheek. It is not solid but is fluid-filled.
References
- Rapini, Ronald P.; Bolognia, Jean L.; Jorizzo, Joseph L. (2007). Dermatology: 2-Volume Set. St. Louis: Mosby. ISBN 1-4160-2999-0.
This article is issued from Wikipedia. The text is licensed under Creative Commons - Attribution - Sharealike. Additional terms may apply for the media files.
