Visual artifact

Visual artifacts (also artefacts) are anomalies apparent during visual representation as in digital graphics and other forms of imagery, especially photography and microscopy.

A screenshot of a Microsoft Windows XP application displaying a visual artifact with repeated frames.

In digital graphics

A retinography. The gray spot in the center is a shadow artifact.

In video entertainment

Many people who use their computers as a hobby experience artifacting due to a hardware or software malfunction. The cases can differ but the usual causes are:

  • Temperature issues, such as failure of cooling fan.
  • Unsuited video card (graphics card) drivers.
  • Drivers that have values that the graphics card is not suited with.
  • Overclocking beyond the capabilities of the particular video card.
  • Software bugs in the application or operating system.

The differing cases of visual artifacting can also differ between scheduled task(s).

In photography

Circular artifacts caused by backscatter from raindrops

These effects can occur in both analog and digital photography.

In microscopy

Confocal laser scanning fluorescence micrograph of thale cress anther (part of stamen). The picture shows among other things a nice red flowing collar-like structure just below the anther. However, an intact thale cress stamen does not have such collar, this is a fixation artifact: the stamen has been cut below the picture frame, and epidermis (upper layer of cells) of stamen stalk has peeled off, forming a non-characteristic structure. Photo: Heiti Paves from Tallinn University of Technology.

In microscopy, an artifact is an apparent structural detail that is caused by the processing of the specimen and is thus not a legitimate feature of the specimen. In light microscopy, artifacts may be produced by air bubbles trapped under the slide's cover slip.[1]

In electron microscopy, distortions may be produced in the drying out of the specimen. Staining can cause the appearance of solid chemical deposits that may be seen as structures inside the cell. Different techniques including freeze-fracturing and cell fractionation may be used to overcome the problems of artifacts.[1]

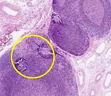
A crush artifact is an artificial elongation and distortion seen in histopathology and cytopathology studies, presumably because of iatrogenic compression of tissues. Distortion can be caused by the slightest compression of tissue and can provide difficulties in diagnosis.[2][3] It may cause chromatin to be squeezed out of nuclei.[4] Inflammatory and tumor cells are most susceptible to crush artifacts.[4]

In radiography

In projectional radiography, visual artifacts that can constitute disease mimics include jewelry, clothes and skin folds.[6]

In magnetic resonance imaging

In Magnetic resonance imaging, artifacts can be classified as patient-related, signal processing-dependent or hardware (machine)-related.[7]

References

  1. Kent, Michael (2000). Advanced Biology (Repr. ed.). Oxford: Oxford University Press. p. 64. ISBN 0199141959.
  2. Chatterjee, S. (September 2014). "Artefacts in histopathology". Journal of Oral and Maxillofacial Pathology. 18 (Suppl 1): S111-6. doi:10.4103/0973-029X.141346. PMC 4211218. PMID 25364159.
  3. Komanduri S, Swanson G, Keefer L, Jakate S (December 2009). "Use of a new jumbo forceps improves tissue acquisition of Barrett's esophagus surveillance biopsies". Gastrointestinal Endoscopy. 70 (6): 1072–8.e1. doi:10.1016/j.gie.2009.04.009. PMID 19595312.
  4. Chatterjee, Shailja (2014). "Artefacts in histopathology". Journal of Oral and Maxillofacial Pathology. 18 (4): S111–S116. doi:10.4103/0973-029X.141346. ISSN 0973-029X. PMC 4211218. PMID 25364159.
  5. Taqi, SyedAhmed; Sami, SyedAbdus; Sami, LateefBegum; Zaki, SyedAhmed (2018). "A review of artifacts in histopathology". Journal of Oral and Maxillofacial Pathology. 22 (2): 279. doi:10.4103/jomfp.JOMFP_125_15. ISSN 0973-029X. PMC 6097380. PMID 30158787.
  6. Page 46 in: Michael Darby, Nicholas Maskell, Anthony Edey, Ladli Chandratreya (2012). Pocket Tutor Chest X-Ray Interpretation. JP Medical Ltd. ISBN 9781907816062.{{cite book}}: CS1 maint: multiple names: authors list (link)
  7. Erasmus, L.J.; Hurter, D.; Naude, M.; Kritzinger, H.G.; Acho, S. (2004). "A short overview of MRI artifacts". South African Journal of Radiology. 8 (2): 13. doi:10.4102/sajr.v8i2.127. ISSN 2078-6778. (CC-BY 4.0)
This article is issued from Wikipedia. The text is licensed under Creative Commons - Attribution - Sharealike. Additional terms may apply for the media files.