Psittacine beak and feather disease
Psittacine beak and feather disease (PBFD) is a viral disease affecting all Old World and New World parrots. The causative virus—beak and feather disease virus (BFDV)—belongs to the taxonomic genus Circovirus, family Circoviridae. It attacks the feather follicles and the beak and claw matrices of the bird, causing progressive feather, claw and beak malformation and necrosis. In later stages of the disease, feather shaft constriction occurs, hampering development until eventually all feather growth stops. It occurs in an acutely fatal form and a chronic form.
| Beak and feather disease virus | |
|---|---|
| Virus classification | |
| (unranked): | Virus |
| Realm: | Monodnaviria |
| Kingdom: | Shotokuvirae |
| Phylum: | Cressdnaviricota |
| Class: | Arfiviricetes |
| Order: | Cirlivirales |
| Family: | Circoviridae |
| Genus: | Circovirus |
| Species: | Beak and feather disease virus |


Cracking and peeling of the outer layers of the claws and beak make tissues vulnerable to secondary infection. Because the virus also affects the thymus and Bursa of Fabricius, slowing lymphocyte production, immunosuppression occurs and the bird becomes more vulnerable to secondary infections. Beak fractures and necrosis of the hard palate can prevent the bird from eating.[1]
History
Psittacine beak and feather disease was first described in the early 1980s and has become recognised as the dominant viral pathogen of psittacine birds worldwide. In wild red-rumped grass parakeets (Psephotus haematonotus), a case of feather loss syndrome that was highly suggestive of PBFD was first recorded in South Australia in 1907.[2] The virus causing PBFD was initially designated as psittacine circovirus but has since been renamed beak and feather disease virus (BFDV).
The condition is more prevalent in widely occurring Australian species such as the sulphur-crested cockatoo, little corella and galah.[3]
The first case of chronic PBFD was reported in a Control and Therapy article in 1972 for the University of Sydney by Ross Perry, in which he described it as "beak rot in a cockatoo".[4] Dr. Perry subsequently studied the disease and wrote extensively about its clinical features in a range of psittacine birds in a long article in which he named the disease "psittacine beak and feather disease syndrome" (PBFDS).[4] This soon became known as psittacine beak and feather disease (PBFD).[4]
Earlier observations of what may have been PBFD were recorded in 1888 by the ornithologist Edwin Ashby, observing a flock of completely featherless red-rumped parrots (Psephotus haematonotus) in the Adelaide Hills, South Australia. The species then disappeared from the area for several years.[5]
Beak and feather disease virus
PBFD is caused by the Beak and feather disease virus (BFDV), a circular or icosahedral, 14–16 nm diameter, single-stranded circular DNA, non-enveloped virus with a genome size of between 1992 and 2018 nucleotides. It encodes seven open reading frames—three in the virion strand and four in the complementary strand.[6] The open reading frames have some homology to porcine circovirus (family Circoviridae), subterranean clover stunt virus and faba bean necrotic yellows virus (both family Nanoviridae).
History
It was first isolated and characterized by researchers Dr. David Pass of Murdoch University in Perth and Dr. Ross Perry from Sydney, with later work at the University of Georgia in the United States, the University of Sydney and Murdoch University in Australia, and the University of Cape Town, among other centres. The virus was originally designated PCV (psittacine circovirus), but has since been renamed beak and feather disease virus. This is due in part, to the research confirming that this virus is the cause of the disease, and in part to avoid confusion with Porcine circovirus, also called PCV.
Detection
A variety of tests for the presence of BFDV are available: standard polymerase chain reaction (PCR), quantitative PCR (qPCR) which can detect the virus in extremely small quantities, whole-genome sequencing, histology, immunohistochemical tests, and quantitative haemagglutination assays.[7]
Structure


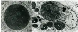
The beak and feather disease virus (BFDV) is currently considered a member of the family Circoviridae. Like other circoviruses, BFDV possesses a small, circular single-stranded DNA (ssDNA) genome (approximately 2.0 kb in length) that is encapsidated into a non-enveloped, spherical icosahedral virion.[8] In order to replicate its genome, BFDV needs to invade the nucleus to access the transcriptional machinery of the host cell. The replication of BFDV is known to occur in numerous tissues, including skin, liver, gastrointestinal tract, and bursa of Fabricius;[9][10] while the capsid antigen of BFDV is found in the spleen, thymus, thyroid, parathyroid and bone marrow.[11] However, the distinction between viral entry and replication in a host cell remains unclear in the absence of confirmation in suitable cell culture. Viral attachment and entry into host cells may not necessarily lead to viral replication, and consequently not all cells containing viral particles may contribute to the disease progression. However, it is thought that the BFDV encodes proteins that actively transport the viral genome into the nucleus, as well as factors that direct the precursor DNA exit to the cytoplasm, where it causes large globular intracytoplasmic paracrystalline arrays.[8]
The BFDV genome is bi-directionally transcribed and encodes at least two major proteins: a replication initiation protein (rep) expressed from the virion strand and a capsid protein (cap) expressed from the complementary strand. A recent study conducted by Sarker et al. used a combination of X-ray crystallography, cryo-electron microscopy and atomic force microscopy to investigate the functionality of cap and its interaction with a range of host and viral proteins. They confirmed that the cap protein forms virus-like particles (VLPs) of ~17 nm (mature form) and a smaller assembly of ~10 nm (immature form).[8] Furthermore, this study demonstrated that assembly of these two VLPs is regulated by single-stranded DNA (ssDNA), and that they provide a structural basis of capsid assembly around single-stranded DNA.[8]
Host range and transmission
BFDV infection was thought to be restricted to within Psittaciformes, but evidence of host switching among distantly-related Australian avian species was recently demonstrated in the rainbow bee-eater (Merops ornatus),[12] powerful owl (Ninox strenua)[13] and finches.[14] A large number of other non-psittacine birds are likely susceptible to sporadic spill-over infection,[15] and there is unpublished evidence of BFDV-associated feather disease in the laughing kookaburra (Daceolo novaeguineae), columbids, corvids and raptors including the wedge-tailed eagle (Aquila audax), white-breasted sea eagle (Haliaetus leucogaster), peregrine falcon (Falco peregrinus) and whistling kite (Haliastur sphenurus).[16] However, the actual mechanism of this host-switch event in raptors and other species is not well understood. Presumably, it occurs in raptors and other birds following predation and/or opportunistic feeding upon the tissues or excretions of BFDV-affected parrots and cockatoos. Knemidokoptes mites have recently been shown to concentrate BFDV within their faeces[17] which raises the possibility of ectoparasites such as hippoboscid flies acting as fomites and vectors of transmission particularly to insectivorous bird species such as the rainbow bee-eater. Interestingly, while interseasonal nest hollow sharing may promote the circulation of novel BFDV genotypes in psittacine populations, species such as raptors, which retain nest hollows over many seasons, may not have sufficient intraspecific transmission frequencies to permit permanent host switching.[16]
Beak and feather disease virus is the dominant viral pathogen of Psittaciformes in Australasia, where it has been present for at least 10 million years,[16] and Australia has been identified as the most likely origin of the virus.[18] The richness of psittacine avifauna in this region has produced a mixture of potential hosts for the pathogens, resulting in competing forces of virus co-evolution, spill-over infection and virus host-switches within parrots, cockatoos and lorikeets. Recent evidence has shown that all threatened and endangered Australian psittacine bird species can be infected by BFDV genotypes from any other closely- or distantly-related host reservoir species.[19][20] Currently, more than 78 psittacine bird species globally have been reported to be infected by BFDV, including at least 38 of the 50 Australian native parrot species both in captivity and the wild, and over 25 non-psittacine bird species.[15][21][22][23][24][16][25][13][12][26]
Infection paths
Transmission is thought to include both vertical transmission (nestlings from their parents) and horizontal transmission (from other members of the flock). In wild bird populations, transmission of infection most likely occurs within nest hollows by oral or intracloacal ingestion of the virus possibly sourced from feather dust, crop secretions, or faeces.[27][10] Although there has been debate in the literature concerning the role of vertical transmission of avian circovirus, BFDV is suspected to be transmitted vertically because viral DNA can be found in embryos from infected hens.[28] However, this could simply be the result of non-replicative transfer of viral DNA into the yolk of embryonated eggs. Adult birds coming into contact with the virus usually (but not always) develop resistance to it, but the virus is retained in their body and, in most cases, is excreted in feces and feather debris for the rest of their lives.
Signs and symptoms

The disease presents as an immunosuppressive condition with chronic symmetrical irreversible loss of feathers as well as beak and claw deformities, eventually leading to death.[11][29][30][31][32] The characteristic feather symptoms only appear during the first moult after infection. In those species having powder down, signs may be visible immediately, as powder down feathers are continually replenished.
It can also be expressed peracutely, ranging from sudden death, particularly in neonates,[33] to an acute form in nestling and fledglings, characterised by feather dystrophy, diarrhoea, weakness and depression ultimately leading to death within 1–2 weeks.[33] In some species with green plumage, the presence of scattered yellow contour feathers throughout the plumage is often the first clinical signs of PBFD. In juvenile crimson rosellas (Platycercus elegans) early signs include subtle feather dystrophy, segmentally retained feather sheaths and feather loss around the nares.[16]
Secondary viral, fungal, bacterial, or parasitic infections often occur as a result of diminished immunity caused by a PBFD viral infection. Clinical signs in addition to those mentioned above, including elevated white blood cell counts, are generally due to secondary infections and may not be directly related to PBFD virus infections. Furthermore, not all infected birds develop feather lesions. Some respond with an appropriate immune response and recover. There is also considerable evidence, at least in lovebirds and orange-bellied parrots, of persistent infections in otherwise normal-appearing individuals. It is likely that these subclinically infected birds, in addition to ones with feather dysplasia, are responsible for shedding into the environment and infection of susceptible birds.
Diagnosis
Various approaches have been developed and employed for the diagnosis of BFDV. These include histology, electron microscopy, haemagglutination,[34][35] immunohistochemistry,[36] in situ hybridisation,[37] polymerase chain reaction (PCR),[38] duplex shuttle PCR,[39] real-time PCR,[40] PCR followed by high-resolution melting curve analysis,[21][26] and swarm primer-applied loop-mediated isothermal amplification (sLAMP).[41] The serological detection of anti-BFDV antibodies has been conducted by haemagglutination inhibition[34][42] and Enzyme-Linked Immunosorbent Assay (ELISA).[36] So far, the standard PCR-based assay has been used most frequently (>49%) to screen BFDV between 1984 and July 2015.[24] A recently developed sLAMP assay may serve as a rapid, sensitive, and specific diagnostic field test for the detection of BFDV in clinical samples.[41]
Impacts
The disease is recognised as an infectious threat for endangered Australian psittacine birds and constitutes a well-characterised threat to a wide variety of psittacine and non-psittacine bird species globally.[15][43][23][24][16][44][45][20][25][13][12][46] It has the potential to become a significant threat to all species of wild parrots and to modern aviculture, due to international legal and illegal bird trade.[24] A large number of psittacine and non-psittacine bird species globally are currently affected by BFDV both in captivity and in the wild, and the disease has the potential to disrupt vital ecosystem processes and services.[15][22][24][13][12] A recent study has shown the importance of an accurate evaluation of avian diseases in wild populations, since invasive parrots may introduce BFDV without showing any visually detectable clinical signs.[47] PBFD was one of the first diseases to be recognised as threatening under the Endangered Species Protection Act 1992 (ESP Act).[19] The Environment Protection and Biodiversity Conservation Act 1999 developed a threat abatement plan (TAP) with two broad goals: ensure that PBFD does not escalate the threatened species status of affected birds; and minimise the likelihood of PBFD becoming a key threatening process (KTP) for other psittacine species.[22] In June 2015, a ministerial review concluded that the goals of the TAP had not been met due to considerable deficits in knowledge concerning PBFD.[48]
Threat
PBFD has the potential to become a major threat to all species of wild parrots and to modern aviculture, due to international legal and illegal bird trade. Cases of PBFD have now been reported in at least 78 psittacine species.[7] At least 38 of 50 Australian native species are affected by PBFD, both captive and in the wild. In 2004, PBFD was listed as a key threatening process by the Australian Commonwealth Government for the survival of five endangered species, including one of the few remaining species of migratory parrots, the orange-bellied parrot, of which only an estimated 3 mating pairs remained in 2017.
Treatment and control
Currently no commercially viable specific treatment for birds affected with chronic PBFD exists. Epidemiological studies have shown a high seroprevalence in wild and captive flocks, indicating that infection does not always lead to the development of feather lesions. Testing regimes currently rely on a combination of viral DNA testing using PCR methods, and excreted antigen detection in feather dander using haemagglutination assay (HA) alongside serology using haemagglutination inhibition (HI). The results can identify subclinical birds that are infected but not excreting virus, while also serving to monitor for an antibody response in those birds which have been exposed to infection. Depending on the stage of infection, the PCR-positive or -negative status of infected birds can wax and wane while they develop HI antibody. In some species, a positive HI antibody result is strong evidence of freedom from infection and disease. Culling of infected birds is normally performed in infected captive or commercial flocks. There is an ongoing need to develop a vaccine to combat BFDV infection.[16]
Therapeutic intervention is therefore limited to treating secondary infections and management of the disease lies mostly in prevention. It has been recommended that a combination of quarantine and hygiene control, diagnostic testing and enhancing flock adaptive immunity should be practised to provide the most effective and sustainable control.[16]
References
This article was adapted from the following source under a [ ] license (2020) (reviewer reports):
Subir Sarker; Jade Forwood; Shane Raidal (20 September 2020). "Beak and feather disease virus: biology and resultant disease" (PDF). WikiJournal of Science. 3 (1): 7. doi:10.15347/WJS/2020.007. ISSN 2470-6345. Wikidata Q99541269.
- Pyne, M. Psittacine Beak and Feather Disease. Currumbin Wildlife Sanctuary, Gold Coast. National Wildlife Rehabilitation Conference 2005.
- Ashby, E. (1907). "Parrakeets moulting". Emu. 6 (4): 193–194. doi:10.1071/MU906192f.
- Borthwick, D. Threat Abatement Plan for Psittacine Beak and Feather Disease Affecting Endangered Psittacine Species. Department of the Environment and Heritage, Commonwealth of Australia. 2005.
- Perry, R.A. (197?) Proc 55, PGCVSc, University of Sydney, pp. ?-?
- Ashby, E. (1921). Notes on Psephotus hematonotus, the Red-rumped Grass Parrakeet. The Avicultural Magazine Third Series, Vol. XII. pg 131.
- Bassami MR, Berryman D, Wilcox GE, Raidal SR (1998). "Psittacine beak and feather disease virus nucleotide sequence analysis and its relationship to porcine circovirus, plant circoviruses, and chicken anaemia virus". Virology. 249 (2): 453–9. doi:10.1006/viro.1998.9324. PMID 9791035.
- Fogell, Deborah J.; Martin, Rowan O.; Groombridge, Jim J. (2016-05-05). "Beak and feather disease virus in wild and captive parrots: an analysis of geographic and taxonomic distribution and methodological trends". Archives of Virology. 161 (8): 2059–74. doi:10.1007/s00705-016-2871-2. ISSN 0304-8608. PMC 4947100. PMID 27151279.
- Sarker, S.; Terrón, M.C.; Khandokar, Y.; Aragão, D.; Hardy, J.M.; Radjainia, M.; Jiménez-Zaragoza, M.; de Pablo, P.J.; Coulibaly, F.; Luque, D.; Raidal, S.R.; Forwood, J.K. (2016). "Structural insights into the assembly and regulation of distinct viral capsid complexes". Nature Communications. 7: 13014. Bibcode:2016NatCo...713014S. doi:10.1038/ncomms13014. PMC 5059447. PMID 27698405.
- Raidal, S.R.; Cross, G.M. (1995). "Acute necrotizing hepatitis caused by experimental infection with psittacine beak and feather disease virus". Journal of Avian Medicine and Surgery. 9 (1): 36–40.
- Wylie, S.L.; Pass, D.A. (1987). "Experimental reproduction of psittacine beak and feather disease french moult". Avian Pathology. 16 (2): 269–281. doi:10.1080/03079458708436374. PMID 18766613.
- Latimer, K.S.; Rakich, P.M.; Kircher, I.M.; Ritchie, B.W.; Niagro, F.D.; Steffens, W.L.; Lukert, P.D. (1990). "Extracutaneous viral inclusions in psittacine beak and feather disease". Journal of Veterinary Diagnostic Investigation. 2 (3): 204–207. doi:10.1177/104063879000200309. PMID 2094445.
- Sarker, S.; Moylan, K.G.; Ghorashi, S.A.; Forwood, J.K.; Peters, A.; Raidal, S.R. (2015). "Evidence of a deep viral host switch event with beak and feather disease virus infection in rainbow bee-eaters (Merops ornatus)". Scientific Reports. 5: 14511. Bibcode:2015NatSR...514511S. doi:10.1038/srep14511. PMC 4585972. PMID 26411487.
- Sarker, S.; Lloyd, C.; Forwood, J.; Raidal, S.R. (2016). "Forensic genetic evidence of beak and feather disease virus infection in a Powerful Owl, Ninox strenua". Emu. 116 (1): 71–74. doi:10.1071/MU15063. S2CID 85812466.
- Circella, E.; Legretto, M.; Pugliese, N.; Caroli, A.; Bozzo, G.; Accogli, G.; Lavazza, A.; Camarda, A. (2014). "Psittacine Beak and Feather Disease–like Illness in Gouldian Finches (Chloebia gouldiae)". Avian Diseases. 58 (3): 482–487. doi:10.1637/10745-121113case.1. PMID 25518446. S2CID 8546218.
- Amery-Gale, J.; Marenda, M.S.; Owens, J.; Eden, P.A.; Browning, G.F.; Devlin, J.M. (2017). "A high prevalence of beak and feather disease virus in non-psittacine Australian birds". Journal of Medical Microbiology. 66 (7): 1005–1013. doi:10.1099/jmm.0.000516. PMID 28703699.
- Raidal, S.R.; Peters, A. (2018). "Psittacine beak and feather disease: ecology and implications for conservation". Emu. 118 (1): 80–93. doi:10.1080/01584197.2017.1387029. S2CID 89880087.
- Portas, T.; Jackson, B.; Das, S.; Shamsi, S.; Raidal, S. R. (2017). "Beak and feather disease virus carriage by Knemidocoptes pilae in a sulphur‐crested cockatoo (Cacatua galerita)". Australian Veterinary Journal. 95 (12): 486–489. doi:10.1111/avj.12649. PMID 29243237. S2CID 10511453.
- Harkins, G.W.; Martin, D.P.; Christoffels, A.; Varsani, A. (2014). "Towards inferring the global movement of beak and feather disease virus". Virology. 450–451: 24–33. doi:10.1016/j.virol.2013.11.033. PMID 24503064.
- Raidal, S.R.; Sarker, S.; Peters, A. (2015). "Review of psittacine beak and feather disease and its effect on Australian endangered species". Australian Veterinary Journal. 93 (12): 466–470. doi:10.1111/avj.12388. PMID 26769072.
- Sarker, S.; Forwood, J.K.; Ghorashi, S.A.; Peters, A.; Raidal, S.R. (2015). "Beak and feather disease virus genotypes in Australian parrots reveal flexible host-switching". Australian Veterinary Journal. 93 (12): 471–475. doi:10.1111/avj.12389. PMID 26769073.
- Das, S.; Sarker, S.; Ghorashi, S.A.; Forwood, J.K.; Raidal, S.R. (2016). "A comparison of PCR assays for beak and feather disease virus and high resolution melt (HRM) curve analysis of replicase associated protein and capsid genes". Journal of Virological Methods. 237: 47–57. doi:10.1016/j.jviromet.2016.08.015. PMID 27565820.
- Department of the Environment and Heritage (2005). Threat Abatement Plan for Psittacine Beak and Feather Disease affecting endangered psittacine species.Canberra, ACT 2601 (PDF) (Report). Department of the Environment and Heritage, Commonwealth of Australia.
- Eastwood, J.R.; Berg, M.L.; Ribot, R.F.; Raidal, S.R.; Buchanan, K.L.; Walder, K.R.; Bennett, A.T. (2014). "Phylogenetic analysis of beak and feather disease virus across a host ring-species complex". Proceedings of the National Academy of Sciences. 111 (39): 14153–14158. Bibcode:2014PNAS..11114153E. doi:10.1073/pnas.1403255111. PMC 4191811. PMID 25225394.
- Fogell, D.J.; Martin, R.O.; Groombridge, J.J. (2016). "Beak and feather disease virus in wild and captive parrots: an analysis of geographic and taxonomic distribution and methodological trends". Archives of Virology. 161 (8): 2059–2074. doi:10.1007/s00705-016-2871-2. PMC 4947100. PMID 27151279.
- Sarker, S.; Ghorashi, S.A.; Forwood, J.K.; Bent, J.S.; Peters, A.; Raidal, S.R. (2014). "Phylogeny of beak and feather disease virus in cockatoos demonstrates host generalism and multiple-variant infections within Psittaciformes". Virology. 460–461: 72–82. doi:10.1016/j.virol.2014.04.021. PMID 25010272.
- Sarker, S.; Ghorashi, S.A.; Forwood, J.K.; Raidal, S.R. (2014). "Rapid genotyping of beak and feather disease virus using high-resolution DNA melt curve analysis". Journal of Virological Methods. 208: 47–55. doi:10.1016/j.jviromet.2014.07.031. PMID 25102431.
- Ritchie, B.W.; Niagro, F.D.; Latimer, K.S.; Steffens, W.L.; Pesti, D.; Ancona, J.; Lukert, P.D. (1991). "Routes and prevalence of shedding of psittacine beak and feather disease virus". American Journal Veterinary Research. 52 (11): 1804–1809. PMID 1785722.
- Rahaus, M.; Desloges, N.; Probst, S.; Loebbert, B.; Lantermann, W.; Wolff, M.H. (2008). "Detection of beak and feather disease virus DNA in embryonated eggs of psittacine birds". Veterinarni Medicina. 53 (1): 53–58. doi:10.17221/1932-VETMED.
- Pass, D.A.; Perry, R.A. (1984). "The pathology of psittacine beak and feather disease". Australian Veterinary Journal. 61 (3): 69–74. doi:10.1111/j.1751-0813.1984.tb15520.x. PMID 6743145.
- Raidal, S.R.; McElnea, C.L.; Cross, G.M. (1993). "Seroprevalence of psittacine beak and feather disease in wild psittacine birds in New South Wales". Australian Veterinary Journal. 70 (4): 137–139. doi:10.1111/j.1751-0813.1993.tb06105.x. PMID 8494522.
- Ritchie, B.W.; Niagro, F.D.; Latimer, K.S.; Lukert, P.D.; Steffens, W.L., III; Rakich, P.M.; Pritchard, N. (1990). "Ultrastructural, protein composition, and antigenic comparison of psittacine beak and feather disease virus purified from four genera of psittacine birds". Journal of Wildlife Diseases. 26 (2): 196–203. doi:10.7589/0090-3558-26.2.196. PMID 2338723.
- Ritchie, B.W.; Niagro, F.D.; Lukert, P.D.; Steffens, W.L., III; Latimer, K.S. (1989). "Characterization of a new virus from cockatoos with psittacine beak and feather disease". Virology. 171 (1): 83–88. doi:10.1016/0042-6822(89)90513-8. PMID 2741350.
- Ritchie, B.W. (1995). "Circoviridae". Avian viruses: Function and control. Lake Worth, FL: Wingers Publishing Inc. pp. 223–252. ISBN 0963699636.
- Khalesi, B.; Bonne, N.; Stewart, M.; Sharp, M.; Raidal, S.R. (2005). "A comparison of haemagglutination, haemagglutination inhibition and PCR for the detection of psittacine beak and feather disease virus infection and a comparison of isolates obtained from loriids". Journal of General Virology. 86 (11): 3039–3046. doi:10.1099/vir.0.81275-0. PMID 16227226.
- Raidal, S.R.; Cross, M.G. (1994). "The haemagglutination spectrum of psittacine beak and feather disease virus". Avian Pathology. 23 (4): 621–630. doi:10.1080/03079459408419032. PMID 18671129.
- Shearer, P.L.; Bonne, N.; Clark, P.; Sharp, M.; Raidal, S.R. (2008). "Development and applications of a monoclonal antibody to a recombinant beak and feather disease virus (BFDV) capsid protein". Journal of Virological Methods. 147 (2): 206–212. doi:10.1016/j.jviromet.2007.08.029. PMID 17942162.
- Ramis, A.; Latimer, K.S.; Niagro, F.D.; Campagnoli, R.P.; Ritchie, B.W.; Pesti, D. (1994). "Diagnosis of psittacine beak and feather disease (PBFD) viral infection, avian polyomavirus infection, adenovirus infection and herpesvirus infection in psittacine tissues using DNA in situ hybridization". Avian Pathology. 23 (4): 643–657. doi:10.1080/03079459408419034. PMID 18671131.
- Ypelaar, I.; Bassami, M.R.; Wilcox, G.E.; Raidal, S.R. (1999). "A universal polymerase chain reaction for the detection of psittacine beak and feather disease virus". Veterinary Microbiology. 68 (1–2): 141–148. doi:10.1016/S0378-1135(99)00070-X. PMID 10501171.
- Ogawa, H.; Yamaguchi, T.; Fukushi, H. (2005). "Duplex shuttle PCR for differential diagnosis of budgerigar fledgling disease and psittacine beak and feather disease". Microbiology and Immunology. 49 (3): 227–237. doi:10.1111/j.1348-0421.2005.tb03724.x. PMID 15781996.
- Shearer, P.L.; Sharp, M.; Bonne, N.; Clark, P.; Raidal, S.R. (2009). "A quantitative, real-time polymerase chain reaction assay for beak and feather disease virus". Journal of Virological Methods. 159 (1): 98–104. doi:10.1016/j.jviromet.2009.03.009. PMID 19442852.
- Chae, H.-G.; Lim, D.-R.; Kim, H.-R.; Park, M.-J.; Park, C.-K. (2020). "An advanced loop-mediated isothermal amplification assay for the rapid detection of beak and feather disease virus in psittacine birds". Journal of Virological Methods. 277: 113819. doi:10.1016/j.jviromet.2020.113819. PMID 31923447. S2CID 210151216.
- Raidal, S.R.; Sabine, M.; Cross, G.M. (1993). "Laboratory diagnosis of psittacine beak and feather disease by haemagglutination and haemagglutination inhibition". Australian Veterinary Journal. 70 (4): 133–137. doi:10.1111/j.1751-0813.1993.tb06104.x. PMID 8494521.
- Das, S.; Sarker, S.; Peters, A.; Ghorashi, S.A.; Phalen, D.; Forwood, J.K.; Raidal, S.R. (2016). "Evolution of circoviruses in lorikeets lags behind its hosts". Molecular Phylogenetics and Evolution. 100: 281–291. doi:10.1016/j.ympev.2016.04.024. PMID 27118178.
- Sarker, S.; Das, S.; Ghorashi, S.A.; Forwood, J.K.; Raidal, S.R. (2014). "Molecular characterization of genome sequences of beak and feather disease virus from the Australian Twenty-Eight Parrot (Barnardius zonarius semitorquatus)". Genome Announcements. 2 (6): e01255-14. doi:10.1128/genomeA.01255-14. PMC 4256191. PMID 25477410.
- Sarker, S.; Forwood, J.K.; Ghorashi, S.A.; McLelland, D.; Peters, A.; Raidal, S.R. (2014). "Whole-genome sequence characterization of a beak and feather disease virus in a wild regent parrot (Polytelis anthopeplus monarchoides)". Genome Announcements. 2 (1): 01243–13. doi:10.1128/genomeA.01243-13. PMC 3907733. PMID 24482518.
- Varsani, A.; Regnard, G.L.; Bragg, R.; Hitzeroth, I.I.; Rybicki, E.P. (2011). "Global genetic diversity and geographical and host-species distribution of beak and feather disease virus isolates". Journal of General Virology. 92 (4): 752–767. doi:10.1099/vir.0.028126-0. PMID 21177924.
- Morinha, F.; Carrete, M.; Tella, J.L.; Blanco, G. (2020). "High Prevalence of Novel Beak and Feather Disease Virus in Sympatric Invasive Parakeets Introduced to Spain From Asia and South America". Diversity. 12 (5): 192. doi:10.3390/d12050192.
- Psittacine Beak and Feather Disease and other identified Threats to Australian threatened Parrots (PDF) (Report). Department of Environment. 2015. Archived from the original (PDF) on August 28, 2020.
Further reading
- Pass, D. A.; Perry, R. A. (1985). "Psittacine beak and feather disease: An update". Aust Vet Practit. 15: 55–60.
- Raidal, S. R., et al. (2005). Development of Recombinant Proteins as a Candidate Vaccine for Psittacine Beak and Feather Disease. Final Report for the Australian Government Department of the Environment and Heritage. Murdoch University, Perth, Western Australia.