Diversion colitis
Diversion colitis is an inflammation of the colon which can occur as a complication of ileostomy or colostomy, where symptoms may occur between one month and three years following surgery.[1] It also occurs frequently in a neovagina created by colovaginoplasty, with varying delay after the original procedure.[2] Despite the presence of a variable degree of inflammation the most suggestive histological feature remains the prominent lymphoid aggregates.
| Diversion colitis | |
|---|---|
![]() | |
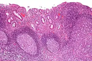
| Micrograph showing colonic-type mucosa with follicular lymphoid hyperplasia, as is seen in diversion colitis. H&E stain. | |
| Specialty | Gastroenterology |
| Causes | Surgery with diversion of colon (ileostomy or colostomy) |
| Treatment | Short-chain fatty acid enemas |
| Medication | Mesalazine |
Symptoms
People may be asymptomatic but common symptoms are abdominal discomfort, anorectal pain, mucous discharge and rectal bleeding that develops from the inflamed mucosa of the distal, unused colon.[1]
Diagnosis
Diagnosis is aided by knowing the full clinical history.[3]
Treatment
In many milder cases after ileostomy or colostomy, diversion colitis is left untreated and disappears naturally. Possible pharmacologic treatments include short-chain fatty acid irrigation, steroid enemas and mesalazine.[4] For surgical candidates, reanastomosis is a reversal procedure carried out to restore bowel continuity that effectively halts the symptoms of diversion colitis.[1]
References
- Tominaga K, Kamimura K, Takahashi K, Yokoyama J, Yamagiwa S, Terai S (April 2018). "Diversion colitis and pouchitis: A mini-review". World Journal of Gastroenterology. 24 (16): 1734–1747. doi:10.3748/wjg.v24.i16.1734. PMC 5922993. PMID 29713128.
- van der Sluis WB, Bouman MB, Meijerink WJ, Elfering L, Mullender MG, de Boer NH, van Bodegraven AA (March 2016). "Diversion neovaginitis after sigmoid vaginoplasty: endoscopic and clinical characteristics". Fertility and Sterility. 105 (3): 834–839.e1. doi:10.1016/j.fertnstert.2015.11.013. PMID 26632208.
- Haboubi, Haboubi (April 2000). "Reporting colonic mucosal biopsies in inflammatory conditions: a new approach". Colorectal Disease. 2 (2): 66–72. doi:10.1046/j.1463-1318.2000.00104.x. PMID 23577987. S2CID 40271111.
- Geraghty JM, Talbot IC (September 1991). "Diversion colitis: histological features in the colon and rectum after defunctioning colostomy". Gut. 32 (9): 1020–3. doi:10.1136/gut.32.9.1020. PMC 1379042. PMID 1916483.
