Aortoenteric fistula
An aortoenteric fistula is a connection between the aorta and the intestines, stomach, or esophageus.[1] There can be significant blood loss into the intestines resulting in bloody stool and death.[1] It is usually secondary to an abdominal aortic aneurysm repair. The third or fourth portion of the duodenum is the most common site for aortoenteric fistulas, followed by the jejunum and ileum.
| Aortoenteric fistula | |
|---|---|
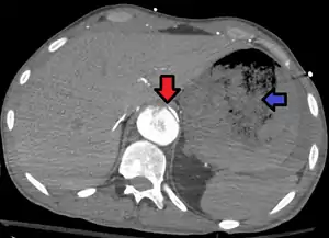
![]() | |
| Aorto enteric fistula and aortic dissection of the thoracic aorta. Arrow shows the flap in the aorta. Heterogeneity is blood in the stomach |
Diagnosis
Diagnosis is typically via a CT angiography, esophagogastroduodenoscopy, or arteriography.[1] It is part of the differential diagnosis of gastrointestinal bleeding.[2]
References
- Xiromeritis, K; Dalainas, I; Stamatakos, M; Filis, K (Jul–Sep 2011). "Aortoenteric fistulae: present-day management". International Surgery. 96 (3): 266–73. doi:10.9738/0020-8868-96.3.266. PMID 22216707.
- Acosta, RD; Wong, RK (Oct 2011). "Differential diagnosis of upper gastrointestinal bleeding proximal to the ligament of Trietz". Gastrointestinal Endoscopy Clinics of North America. 21 (4): 555–66. doi:10.1016/j.giec.2011.07.014. PMID 21944410.
External links
This article is issued from Wikipedia. The text is licensed under Creative Commons - Attribution - Sharealike. Additional terms may apply for the media files.
